Ежедневно с 8:00 до 21:00

+7 (495) 223-60-90

1-й Некрасовский пр-д., д.13

+7 (495) 104-42-00

Отдел качества

+7 (495) 801-68-68

Общий номер

+7 (495) 223-60-90

1-й Некрасовский пр-д., д.13

+7 (495) 104-42-00

Отдел качества

Ежедневно с 8:00 до 21:00

Взрослая стоматология
Косметология
+7 (495) 801-68-68

Общий номер

+7 (495) 223-60-90

1-й Некрасовский пр-д., д.13

+7 (495) 104-42-00

Отдел качества

Взрослая стоматология
Косметология

Стоматолог

Федоренко Лана Викторовна

  • Эксперт по эндодонтии ( лечение и перелечивании зубов)
  • Специалист по лечению пациентов с особыми потребностями
  • Планирование лечения с использование искусственного интеллекта
Федоренко Лана Викторовна
Лана Викторовна - опытный стоматолог-терапевт с 27-летним стажем работы в стоматологии.  В медицинском центре работает с 2002 года.  

Доктор специализируется на методиках эстетического восстановления зубов, микропротезировании, лечении корневых каналов различной сложности при необходимости с применением микроскопа. Это позволяет доктору добиваться отличных результатов лечения. 

Благодаря своему индивидуальному подходу к каждому пациенту, Лана Викторовна создает доверительные отношения с каждым пациентом и обеспечивает комфортное и эффективное лечение. 
Наши пациенты часто рекомендуют Лану Викторовну, как профессионального и заботливого доктора.

Стаж работы

26 лет

Принимает клиниках

  • Клиника в г. Пушкино

Специализация

  • Стоматолог

Сертификаты

1863
1864
1865
1866
1867
1868
1869
1870
1871

Отзывы по врачу

Читать все отзывы

Врач: Федоренко Лана Викторовна

Огромная благодарность Лане Викторовне за высокий профессионализм и внимательный подход к пациенту! Повторно запишусь на приём!

Врач: Федоренко Лана Викторовна

Я пришел к Лане Викторовне с серьезной проблемой — восстановлением передних зубов после травмы. Она предложила современные методы реставрации, которые позволили вернуть зубам их естественный вид. Процесс был длительным, но Лана Викторовна всегда нахо...
Я пришел к Лане Викторовне с серьезной проблемой — восстановлением передних зубов после травмы. Она предложила современные методы реставрации, которые позволили вернуть зубам их естественный вид. Процесс был длительным, но Лана Викторовна всегда находила время для консультаций и отвечала на все вопросы. Результат превзошел все мои ожидания!
Показать весь отзыв

Врач: Федоренко Лана Викторовна

Хочу поделиться своим опытом работы с Ланой Викторовной. У меня была сложная ситуация с пародонтозом, и я боялся, что придется удалять зубы. Однако врач предложила комплексное лечение, которое помогло избежать удаления. Процедуры были быстрыми и эффе...
Хочу поделиться своим опытом работы с Ланой Викторовной. У меня была сложная ситуация с пародонтозом, и я боялся, что придется удалять зубы. Однако врач предложила комплексное лечение, которое помогло избежать удаления. Процедуры были быстрыми и эффективными, а самое главное — она постоянно контролировала процесс и давала полезные советы по уходу за полостью рта. Теперь я могу улыбаться без комплексов!
Показать весь отзыв

Врач: Федоренко Лана Викторовна

Мне нужна была помощь в лечении кариеса, и я выбрала Лану Викторовну Федоренко по рекомендации знакомых. Она оказалась настоящим профессионалом! Лана Викторовна аккуратно выполнила все необходимые процедуры, и я даже не почувствовал боли. Особенно мн...
Мне нужна была помощь в лечении кариеса, и я выбрала Лану Викторовну Федоренко по рекомендации знакомых. Она оказалась настоящим профессионалом! Лана Викторовна аккуратно выполнила все необходимые процедуры, и я даже не почувствовал боли. Особенно мне понравилось, как она держит пациента в курсе всех этапов лечения. Теперь мои зубы здоровые, и я полностью доверяю этому врачу!
Показать весь отзыв

Врач: Федоренко Лана Викторовна

Я обратилась к Лане Викторовне Федоренко с проблемой, связанной с чувствительностью зубов. Она внимательно выслушала мои жалобы и провела тщательный осмотр. Лана Викторовна объяснила мне причины проблемы простым языком и предложила несколько варианто...
Я обратилась к Лане Викторовне Федоренко с проблемой, связанной с чувствительностью зубов. Она внимательно выслушала мои жалобы и провела тщательный осмотр. Лана Викторовна объяснила мне причины проблемы простым языком и предложила несколько вариантов лечения. Процедуры были комфортными, а самое главное — она постоянно следила за тем, чтобы я не испытывала дискомфорта. Теперь мои зубы перестали болеть, и я очень благодарна врачу за профессионализм и чуткое отношение!
Показать весь отзыв

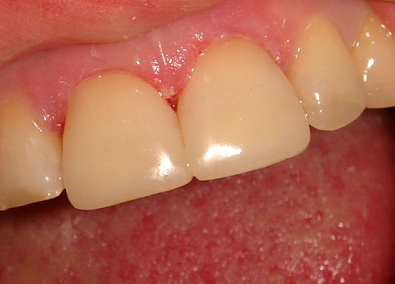
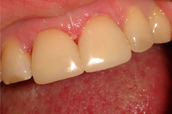
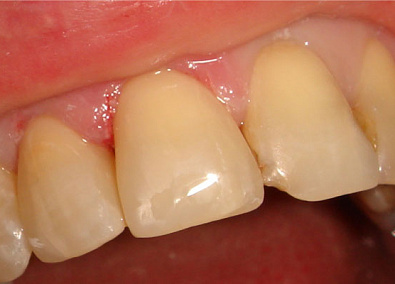
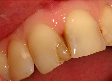
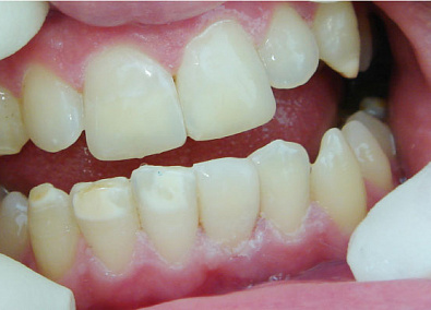
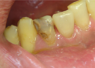
Работы врача

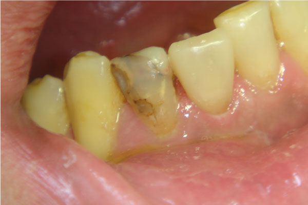
Фото ДО
Фото ПОСЛЕ

Наведите для просмотра

Кариес передних зубов

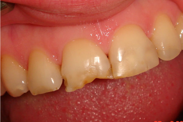
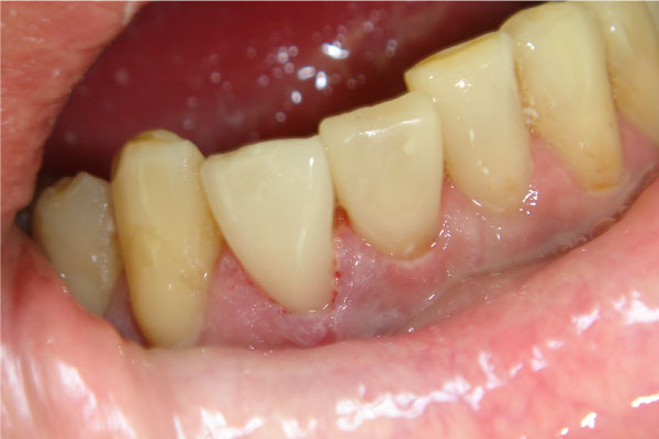
Фото ДО
Фото ПОСЛЕ

Наведите для просмотра

Реставрация / лечение кариеса

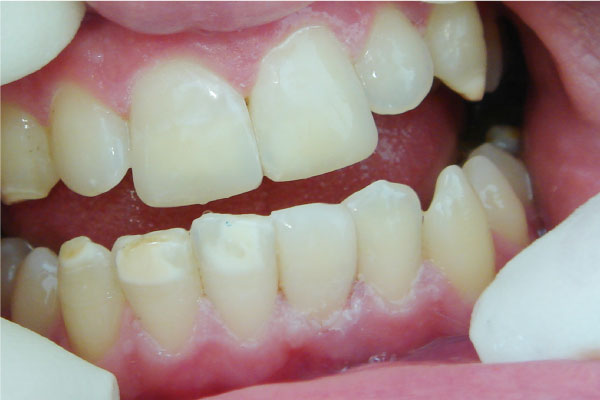
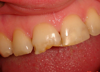
Фото ДО
Фото ПОСЛЕ

Наведите для просмотра

Реставрация зубов / микропротезирование

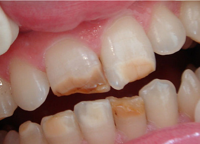
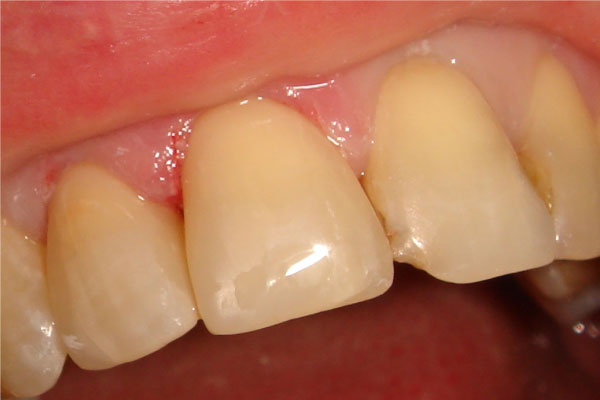
Фото ДО
Фото ПОСЛЕ

Наведите для просмотра

Реставрация зубов

Клиники, в которых принимает специалист

Клиника в г. Пушкино

Консилиум врачей в подарок Получить подарок