Ежедневно с 8:00 до 21:00

+7 (495) 223-60-90

1-й Некрасовский пр-д., д.13

+7 (495) 104-42-00

Отдел качества

+7 (495) 801-68-68

Общий номер

+7 (495) 223-60-90

1-й Некрасовский пр-д., д.13

+7 (495) 104-42-00

Отдел качества

Ежедневно с 8:00 до 21:00

Взрослая стоматология
Косметология
+7 (495) 801-68-68

Общий номер

+7 (495) 223-60-90

1-й Некрасовский пр-д., д.13

+7 (495) 104-42-00

Отдел качества

Взрослая стоматология
Косметология

Сделать зубы ровными и красивыми

Красивая, сияющая улыбка — одна из самых притягательных черт человека. Современная эстетическая стоматология в «Интердентос» решает широкий спектр задач: от отбеливания до полной реставрации зубов. Мы стремимся не просто к идеальному внешнему виду, а к гармонии формы, цвета и функции, используя передовые технологии и материалы. Наши врачи помогут вам исправить сколы, щели, неровности и цвет зубов, создавая улыбку, которая будет выглядеть естественно и безупречно. Доверьтесь опыту наших специалистов, чтобы обрести уверенность и новый образ.
9 клиник

9 клиник

В 5 городах подмосковья:
Королёв, Мытищи, Щёлково, Пушкино и Балашиха.
с 1998 года

с 1998 года

Многолетний накопленный опыт и собственная научная база позволяет решать даже самые сложные случаи
250 тысяч пациентов

250 тысяч пациентов

Доверили нам своё здоровье.
80% из них
— пришли к нам по рекомендациям
-0

Искусство реставрации: как мы создаем идеальные улыбки в «Интердентос»

Эстетическая реставрация зубов — это высокотехнологичное искусство, сочетающее мастерство врача и возможности современных материалов. В нашей клинике этот процесс — не просто «замазывание» недостатков, а комплексный подход к восстановлению естественной красоты и здоровья зубов.

Основу нашей работы составляет точная диагностика и планирование. Мы учитываем не только цвет и форму отдельного зуба, но и его гармонию со всей улыбкой, губами и чертами лица. Для этого могут использоваться цифровые технологии визуализации, позволяющие вам увидеть будущий результат еще до начала лечения.

Мы применяем две ключевые методики, выбор между которыми зависит от клинической ситуации:

  • Прямая художественная реставрация композитами. Проводится за одно посещение. С помощью светоотверждаемых материалов, подобранных по цвету к вашей эмали, врач-стоматолог восстанавливает скол, закрывает диастему (щель) или корректирует форму зуба. Это быстрый и эффективный способ локального улучшения.
  • Непрямая реставрация винирами/люминирами.Это тонкие накладки из керамики или диоксида циркония, изготавливаемые в зуботехнической лаборатории по индивидуальным слепкам. Они решают более комплексные задачи: кардинально меняют цвет, форму, размер и положение зубов, создавая безупречную «голливудскую» улыбку. Виниры отличаются максимальной прочностью, эстетикой и долговечностью.

Каждая реставрация в «Интердентос» — это результат слаженной работы стоматолога-терапевта и зубного техника, направленной на создание естественной и гармоничной улыбки, которая прослужит вам долгие годы.

Быстрая запись на приём

Оставьте номер телефона и администратор перезвонит Вам в течение 5 минут.

img

Спасибо!

Наши специалисты свяжутся с вами в ближайшее время.

Ежедневно с 8:00 до 21:00

+7 (495) 801-68-68

Общий номер

+7 (495) 223-60-90

1-й Некрасовский пр-д., д.13

+7 (495) 104-42-00

Отдел качества

Услуги

Услуги

Наше оборудование

CEREC - технология художественной реставрации зубов за 2 часа

CEREC - технология художественной реставрации зубов за 2 часа

CAD/CAM система CEREC позволяет проводить лечение и протезирование зубов быстро и с высокой точностью – благодаря специальному сканеру, воспроизводящему модель зуба в 3D. CEREC Omnicam, MEDIT  i700,  PrimeScan.
Дентальный микроскоп

Дентальный микроскоп

Использование ультрасовременных дентальных микроскопов создает уникальные возможности для спасения «безнадежных зубов». Микроскопы:  Advanced,  Karl Kaps,  Carl Zeiss EXTARO 300, Prima D с вариоскопом.
3D томограф Galileos

3D томограф Galileos

Охватывает всю зубочелюстную систему, включая пазухи. А благодаря 3D-моделированию аппарат  позволяет повысить диагностическую точность и виртуально спланировать наиболее эффективное лечение.
Дентальный компьютерный томограф Planmeca ProMax

Дентальный компьютерный томограф Planmeca ProMax

Уникальный компьютерный томограф для качественной диагностики  и планирования лечения
Sleeper One - электронная система анестезии

Sleeper One - электронная система анестезии

Система анестезии нового поколения, объём, скорость и давление подачи препарата контролируется электронной системой. Специальные иглы обеспечивают безболезненность и снижают травматичность тканей.
ICON - лечение кариеса без препарирования

ICON - лечение кариеса без препарирования

ICON - специальный препарат в виде геля, который наносится на участок зуба и глубоко проникает в его ткани, уничтожая кариозные образования и укрепляя ткани зуба.
SAF - революция в лечении зубных каналов

SAF - революция в лечении зубных каналов

Самоадаптирующийся файл из сплава никеля и титана - эффективен в самых сложных случаях лечения каналов, максимально сохраняет здоровые ткани и форму каналов.
Стоматологическая установка DENTSPLY SIRONA

Стоматологическая установка DENTSPLY SIRONA

Признаны стоматологами во всём мире, как наиболее совершенные и комфортные, обладающие передовыми характеристиками. Обладают наградами iF Design Gold Award и German Design Award.
Интраоральный 3D-сканер

Интраоральный 3D-сканер

3D-сканирование можно назвать новым стандартом в стоматологической практике, который становится всё более распространенным. 3D-сканер позволяет достичь высочайшей точности и качества в протезировании.

Цены

Все цены

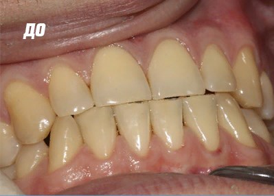
Эстетическая стоматология: фото До и После

Фото ДО
Фото ПОСЛЕ

Наведите для просмотра

Отбеливание зубов

Фото ДО
Фото ПОСЛЕ

Наведите для просмотра

Отбеливание зубов

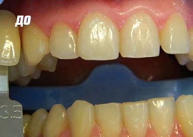
Фото ДО
Фото ПОСЛЕ

Наведите для просмотра

Отбеливание

Фото ДО
Фото ПОСЛЕ

Наведите для просмотра

Отбеливание

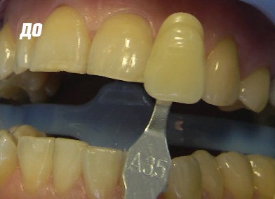
Фото ДО
Фото ПОСЛЕ

Наведите для просмотра

Виниры

Фото ДО
Фото ПОСЛЕ

Наведите для просмотра

Виниры

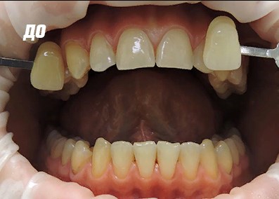
Фото ДО
Фото ПОСЛЕ

Наведите для просмотра

Виниры

Фото ДО
Фото ПОСЛЕ

Наведите для просмотра

Отбеливание зубов

Фото ДО
Фото ПОСЛЕ

Наведите для просмотра

Отбеливание зубов

Наши клиники

Клиника в г. Пушкино

Наши лицензии

Лечение проводится на основании действующих медицинских лицензий Л041-01162-50/00360420 и Л041-01162-50/00367813. Это гарантирует, что все процедуры — от диагностики до реставрации — выполняются безопасно, с использованием сертифицированных материалов и оборудования, в строгом соответствии с российскими стандартами.

Л041-01162-50/00360420 Л041-01162-50/00360420

Открыть PDF
Л041-01162-50/00367813-1 Л041-01162-50/00367813

Л041-01162-50/00367813-2 Л041-01162-50/00367813

Л041-01162-50/00367813-3 Л041-01162-50/00367813

Л041-01162-50/00367813-4 Л041-01162-50/00367813

Л041-01162-50/00367813-5 Л041-01162-50/00367813

Л041-01162-50/00367813-6 Л041-01162-50/00367813

Л041-01162-50/00367813-7 Л041-01162-50/00367813

Л041-01162-50/00367813-8 Л041-01162-50/00367813

Л041-01162-50/00367813 Л041-01162-50/00367813

Открыть PDF

Эстетическая стоматология в Пушкино: услуги, технологии и восстановление улыбки

Клиника «Интердентос» в Пушкино предлагает полный спектр услуг эстетической стоматологии для тех, кто стремится к совершенству своей улыбки. Мы работаем над улучшением внешнего вида зубов, решая такие распространенные проблемы, как потемнение эмали, сколы, трещины, щели между зубами, неровный контур или неидеальная форма.

Ключевые направления нашей работы включают:

Эстетические реставрации: Восстановление формы и цвета зубов с помощью современных композитных материалов (прямой метод) или ультратонких керамических виниров (непрямой метод). Это позволяет устранить видимые дефекты и создать гармоничный зубной ряд.

Профессиональное отбеливание: Безопасные и эффективные клинические методики под контролем врача для осветления зубной эмали на несколько тонов. Мы помогаем достичь заметного результата, минимизируя риски повышенной чувствительности.

Художественная реставрация передних зубов: Особое внимание уделяется восстановлению зоны улыбки, где важна максимальная естественность и эстетика. Мы воссоздаем анатомическую форму и полупрозрачность, характерную для здоровых зубов.

Как проходит прием у эстетического стоматолога? Консультация начинается с обсуждения ваших пожеланий. Врач проводит тщательный осмотр полости рта, оценивает состояние эмали, десен и существующих реставраций. Совместно с вами мы определяем реалистичные цели и выбираем оптимальную методику лечения, будь то быстрое устранение небольшого дефекта или комплексное преображение улыбки.

Почему стоит выбрать «Интердентос» для эстетического лечения?

  • Индивидуальный подход: Мы не работаем по шаблону. Цвет, форма и прозрачность будущей реставрации подбираются индивидуально для каждого пациента.
  • Опытные специалисты: Наши врачи-стоматологи владеют современными техниками реставрации и постоянно совершенствуют свои навыки.
  • Использование качественных материалов: Мы применяем сертифицированные композиты и керамику от мировых производителей, что гарантирует долговечность, эстетику и биосовместимость результатов.
  • Комплексный взгляд: Мы учитываем не только красоту, но и функциональность зубов, а также здоровье десен, что обеспечивает стабильный и естественный результат.

Эстетическая стоматология в «Интердентос» — это возможность обрести улыбку вашей мечты, которая подарит вам уверенность в себе. Запишитесь на консультацию, чтобы сделать первый шаг к преображению.

Консилиум врачей в подарок Получить подарок