Ежедневно с 8:00 до 21:00

+7 (495) 223-60-90

1-й Некрасовский пр-д., д.13

+7 (495) 104-42-00

Отдел качества

+7 (495) 801-68-68

Общий номер

+7 (495) 223-60-90

1-й Некрасовский пр-д., д.13

+7 (495) 104-42-00

Отдел качества

Ежедневно с 8:00 до 21:00

Взрослая стоматология
Косметология
+7 (495) 801-68-68

Общий номер

+7 (495) 223-60-90

1-й Некрасовский пр-д., д.13

+7 (495) 104-42-00

Отдел качества

Взрослая стоматология
Косметология

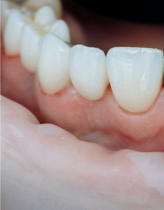
Лечение дёсен в Пушкино

Современная экологическая обстановка, наличие множества сопутствующих заболеваний, аллергии, а также характер питания, включающий в себя употребление все более мягкой пищи, употребление алкоголя, никотина, наркотических веществ - обуславливает заболевания пародонта даже у подростков, а к 30-35 годам некоторые пациенты имеют запущенный пародонтит.

Запущенная форма этого недуга грозит потерей кажущихся на первый взгляд абсолютно здоровых зубов. Поэтому, как только вы обнаружили кровоточивость десен, неприятный запах изо рта или неприятный привкус во рту, безотлагательно посетите пародонтолога.

9 клиник

9 клиник

В 5 городах подмосковья:
Королёв, Мытищи, Щёлково, Пушкино и Балашиха.
с 1998 года

с 1998 года

Многолетний накопленный опыт и собственная научная база позволяет решать даже самые сложные случаи
250 тысяч пациентов

250 тысяч пациентов

Доверили нам своё здоровье.
80% из них
— пришли к нам по рекомендациям
-0

Преимущества лечения в «Интердентос»

Процесс лечения заболеваний пародонта долгий, включает в себя последовательное проведение многоступенчатого лечения. Смысл любого пародонтологического лечения сводится к удалению поддесневого зубного камня и благодатной среды, образующейся в результате появления пространства (карманов) в поддесневой области.

После устранения причины воспаления необходимо провести лечение, устраняющее его последствия (шинирование зубов, пластику десны), и в дальнейшем регулярно наблюдаться у пародонтолога и проводить лечебные и профилактические мероприятия.

Быстрая запись на приём

Оставьте номер телефона и администратор перезвонит Вам в течение 5 минут.

img

Спасибо!

Наши специалисты свяжутся с вами в ближайшее время.

Ежедневно с 8:00 до 21:00

+7 (495) 801-68-68

Общий номер

+7 (495) 223-60-90

1-й Некрасовский пр-д., д.13

+7 (495) 104-42-00

Отдел качества

Врачи направления

Все врачи

Цены на лечение десен

Все цены

Наши клиники

Клиника в г. Пушкино

Наши лицензии

Лечение проводится на основании действующих медицинских лицензий Л041-01162-50/00360420 и Л041-01162-50/00367813. Это гарантирует, что все процедуры — от диагностики до реставрации — выполняются безопасно, с использованием сертифицированных материалов и оборудования, в строгом соответствии с российскими стандартами.

Л041-01162-50/00360420 Л041-01162-50/00360420

Открыть PDF
Л041-01162-50/00367813-1 Л041-01162-50/00367813

Л041-01162-50/00367813-2 Л041-01162-50/00367813

Л041-01162-50/00367813-3 Л041-01162-50/00367813

Л041-01162-50/00367813-4 Л041-01162-50/00367813

Л041-01162-50/00367813-5 Л041-01162-50/00367813

Л041-01162-50/00367813-6 Л041-01162-50/00367813

Л041-01162-50/00367813-7 Л041-01162-50/00367813

Л041-01162-50/00367813-8 Л041-01162-50/00367813

Л041-01162-50/00367813 Л041-01162-50/00367813

Открыть PDF

Диагностика заболеваний дёсен.

Современная диагностика пародонта в наших клиниках  проводится с помощью системы «Florida Probe». Всего за 20-30 мин с помощью данной технологии можно получить исчерпывающую информацию о состоянии дёсен пациента - наличии пародонтальных карманов и их глубине, подвижности зубов, степени воспаления десны, наличии или отсутствии кровоточивости дёсен.

Ещё одним преимуществом «Florida Probe» является то, что она позволяет проводить диагностику заболеваний пародонта на самой ранней стадии, даже когда симптомы заболевания ещё практически отсутствуют. Таким образом, специалисты СЦ «Интердентос» получают возможность не только ранней диагностики пародонтита, а следовательно, и максимально щадящего, нетравматичного и самого эффективного лечения, но и наглядную и объективную возможность контроля качества проводимого лечения.

В ротовой полости постоянно присутствуют бактерии. Они попадают к нам с пищей, водой и накапливаются в зубном налете. Они-то и становятся причиной заболеваний пародонта. Микробы выделяют токсины, которые разрушают ткани. Сначала мягкие - слизистую оболочку и сами десны. Это – начальная стадия болезни пародонта, она называется "гингивит". Обычно люди не придают ей серьезного значения, но если гингивит не лечить, то происходит разрушение более глубоких тканей десны, которое приводит к расшатыванию и потере зуба - это уже пародонтит. При этом образуются патологические карманы между зубом и десной. В таком укрытии ничто не мешает микробам разрушать все ткани, в том числе и кость.

Лечение дёсен.

Процесс лечения заболеваний пародонта  долгий, включает в себя последовательное проведение многоступенчатого лечения. Смысл любого пародонтологического лечения сводится к удалению поддесневого зубного камня и благодатной среды, образующейся в результате появления пространства (карманов) в поддесневой области. После устранения причины воспаления необходимо провести лечение, устраняющее его последствия (шинирование зубов, пластику десны), и в дальнейшем регулярно наблюдаться у пародонтолога и проводить лечебные и профилактические мероприятия.

Эффективную обработку зубодесневых карманов в комплексном лечении пародонтита наши врачи проводят с помощью аппарата Vector.

Vector удаляет бляшку, зубной камень, эндотоксины, быстро и эффективно устраняет бактерии, вызывающие заболевание, со всей поверхности зубов и корней до дна карманов. Важной составляющей частью Vector-системы является возможность одновременного проведения очищения зубов и полировки. После очищения поверхность зуба остаётся шероховатой, что является основой для формирования новой бляшки и образования налета. Поэтому очень важно провести полировку поверхности зуба и корня. В системе Vector мельчайшие частицы, входящие в состав, деликатно полируют поверхности во время очищения зубов.

Важно помнить, что с пародонтитом можно справиться только при своевременном обращении к стоматологу. 

Консилиум врачей в подарок Получить подарок