Ежедневно с 8:00 до 21:00

+7 (495) 223-60-90

1-й Некрасовский пр-д., д.13

+7 (495) 104-42-00

Отдел качества

+7 (495) 801-68-68

Общий номер

+7 (495) 223-60-90

1-й Некрасовский пр-д., д.13

+7 (495) 104-42-00

Отдел качества

Ежедневно с 8:00 до 21:00

Взрослая стоматология
Косметология
+7 (495) 801-68-68

Общий номер

+7 (495) 223-60-90

1-й Некрасовский пр-д., д.13

+7 (495) 104-42-00

Отдел качества

Взрослая стоматология
Косметология

Несъемное протезирование зубов

Несъемное протезирование зубов – лучший способ восстановления естественных зубов эстетичными протезами, которые могут эксплуатироваться, обеспечивая полную функциональность.

Уход за зубами и функциональные действия проводятся без съема конструкции. Для крепления несъемных зубных протезов необходимы собственные опорные здоровые зубы или несколько имплантов.

9 клиник

9 клиник

В 5 городах подмосковья:
Королёв, Мытищи, Щёлково, Пушкино и Балашиха.
с 1998 года

с 1998 года

Многолетний накопленный опыт и собственная научная база позволяет решать даже самые сложные случаи
250 тысяч пациентов

250 тысяч пациентов

Доверили нам своё здоровье.
80% из них
— пришли к нам по рекомендациям
-0

Каждый протез, будь то единичная коронка, мостовидная конструкция или протез на имплантатах, обеспечивается надежной и долговечной фиксацией. Мы достигаем этого за счет:

  • Точнейшей диагностики и планирования с использованием 3D-сканирования и компьютерного моделирования.
  • Применения биосовместимых и прочных материалов премиум-класса: безметалловой керамики E-max, диоксида циркония и фарфора, которые обладают исключительной эстетикой и рассчитаны на экстремальные жевательные нагрузки.
  • Индивидуального подхода к фиксации, учитывающего анатомические особенности пациента и выбранный тип конструкции. Используются современные адгезивные системы и цементы, гарантирующие прочное и герметичное соединение.
Результат нашей работы — это не просто искусственный зуб. Это полноценная часть вашей зубочелюстной системы, которая позволяет забыть об отсутствии зубов: свободно улыбаться, наслаждаться любимой пищей без ограничений и жить с уверенностью в завтрашнем дне. Мы дарим нашим пациентам не просто протезы, а комфорт, естественность и качество жизни, которые обеспечиваются безупречной фиксацией и мастерством исполнения.

Быстрая запись на приём

Оставьте номер телефона и администратор перезвонит Вам в течение 5 минут.

img

Спасибо!

Наши специалисты свяжутся с вами в ближайшее время.

Ежедневно с 8:00 до 21:00

+7 (495) 801-68-68

Общий номер

+7 (495) 223-60-90

1-й Некрасовский пр-д., д.13

+7 (495) 104-42-00

Отдел качества

Услуги

Услуги

Стоматологи ортопеды

Все врачи

Наше оборудование

CEREC - технология художественной реставрации зубов за 2 часа

CEREC - технология художественной реставрации зубов за 2 часа

CAD/CAM система CEREC позволяет проводить лечение и протезирование зубов быстро и с высокой точностью – благодаря специальному сканеру, воспроизводящему модель зуба в 3D. CEREC Omnicam, MEDIT  i700,  PrimeScan.
Дентальный микроскоп

Дентальный микроскоп

Использование ультрасовременных дентальных микроскопов создает уникальные возможности для спасения «безнадежных зубов». Микроскопы:  Advanced,  Karl Kaps,  Carl Zeiss EXTARO 300, Prima D с вариоскопом.
3D томограф Galileos

3D томограф Galileos

Охватывает всю зубочелюстную систему, включая пазухи. А благодаря 3D-моделированию аппарат  позволяет повысить диагностическую точность и виртуально спланировать наиболее эффективное лечение.
Артикулятор

Артикулятор

Является универсальным прибором для диагностики и терапии, он имитирует жевательные движения, точно определяя анатомические особенности пациента и незаменим при изготовлении ортопедических конструкций.
Дентальный компьютерный томограф Planmeca ProMax

Дентальный компьютерный томограф Planmeca ProMax

Уникальный компьютерный томограф для качественной диагностики  и планирования лечения
Sleeper One - электронная система анестезии

Sleeper One - электронная система анестезии

Система анестезии нового поколения, объём, скорость и давление подачи препарата контролируется электронной системой. Специальные иглы обеспечивают безболезненность и снижают травматичность тканей.
Стоматологическая установка DENTSPLY SIRONA

Стоматологическая установка DENTSPLY SIRONA

Признаны стоматологами во всём мире, как наиболее совершенные и комфортные, обладающие передовыми характеристиками. Обладают наградами iF Design Gold Award и German Design Award.
Интраоральный 3D-сканер

Интраоральный 3D-сканер

3D-сканирование можно назвать новым стандартом в стоматологической практике, который становится всё более распространенным. 3D-сканер позволяет достичь высочайшей точности и качества в протезировании.

Цены на несъемные зубные протезы

Все цены

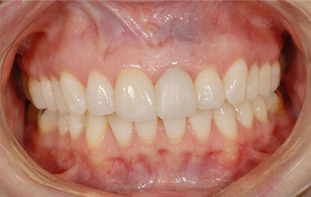
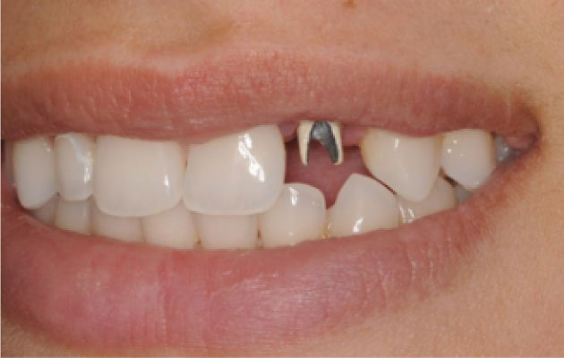
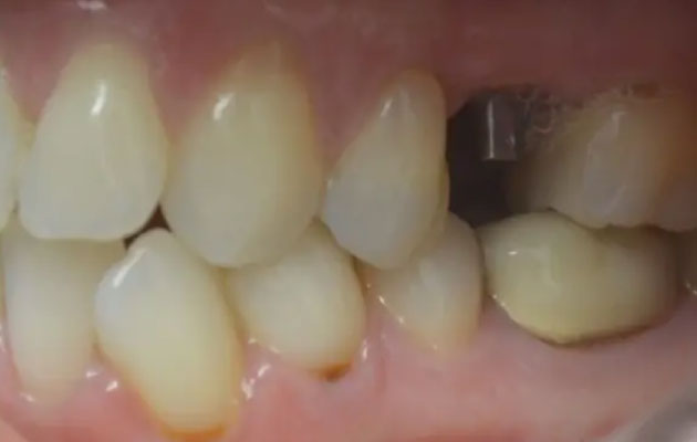
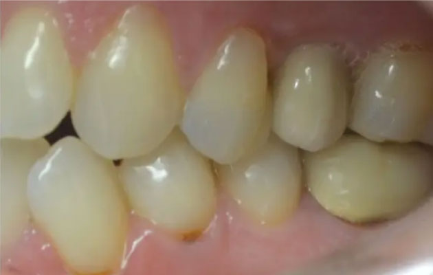
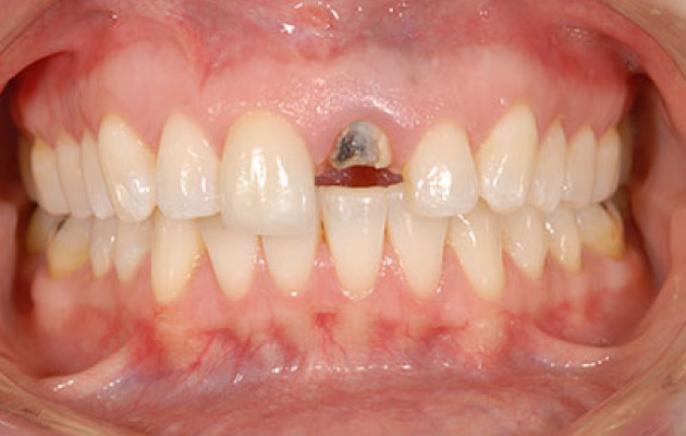
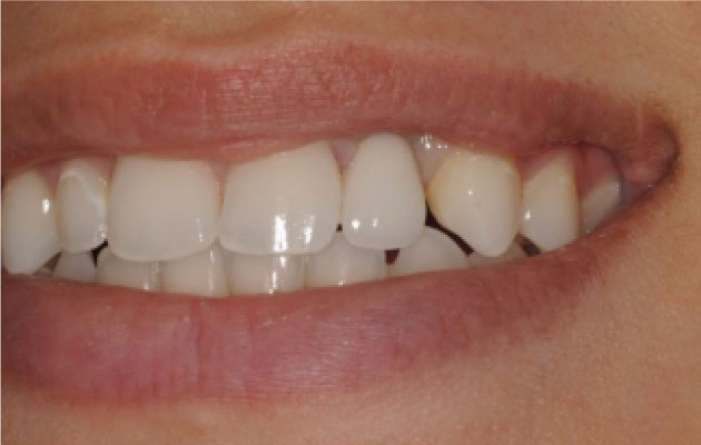
Несъемное протезирование: фото До и После

Фото ДО
Фото ПОСЛЕ

Наведите для просмотра

Коронка на имплант

Фото ДО
Фото ПОСЛЕ

Наведите для просмотра

Коронка на имплант

Фото ДО
Фото ПОСЛЕ

Наведите для просмотра

Коронка на имплант

Фото ДО
Фото ПОСЛЕ

Наведите для просмотра

Коронки

Наши клиники

Клиника в г. Пушкино

Наши лицензии

Лечение проводится на основании действующих медицинских лицензий Л041-01162-50/00360420 и Л041-01162-50/00367813. Это гарантирует, что все процедуры — от диагностики до реставрации — выполняются безопасно, с использованием сертифицированных материалов и оборудования, в строгом соответствии с российскими стандартами.

Л041-01162-50/00360420 Л041-01162-50/00360420

Открыть PDF
Л041-01162-50/00367813-1 Л041-01162-50/00367813

Л041-01162-50/00367813-2 Л041-01162-50/00367813

Л041-01162-50/00367813-3 Л041-01162-50/00367813

Л041-01162-50/00367813-4 Л041-01162-50/00367813

Л041-01162-50/00367813-5 Л041-01162-50/00367813

Л041-01162-50/00367813-6 Л041-01162-50/00367813

Л041-01162-50/00367813-7 Л041-01162-50/00367813

Л041-01162-50/00367813-8 Л041-01162-50/00367813

Л041-01162-50/00367813 Л041-01162-50/00367813

Открыть PDF

После установки протезов пациент проходит краткий период адаптации, и затем воспринимает протезы как собственные зубы, пользуясь всем потенциалом для качественного жевания, наслаждаясь правильной дикцией и красивой улыбкой.

Мы корректируем зубной ряд при отсутствии одного, двух и более зубов, вплоть до полной адентии. Опытные специалисты профессионально подбирают подходящие материалы для изготовления несъемных протезов для зубов. Для подбора типа протезирования важно посетить врача стоматолога, пройти осмотр и диагностические процедуры.

Приглашаем пациентов для качественного несъемного протезирования зубов по самым современным протоколам.

Ужен на первом приеме врач проведет осмотр и выявит патологии зубного ряда. Вы сможете узнать, какой вид протезирования зубов возможет в вашей клинической картине и сколько это будет стоить. Мы предлагаем точные цены, которые устанавливаются при составлении плана установки несъемного зубного протеза.

Уход за несъемными протезами мало отличается от ухода за собственными чувствительными зубами:

  • Чистка;
  • Соблюдение температурного режима пищи;
  • Предохранения от повышенной нагрузки.

Внешне зубы не отличаются от естественных, но, по сравнению с пораженными зубами, выглядят лучше, функционируют с большей прочностью.

Особенности несъёмного протезирования зубов

Редко можно найти человека в возрасте, который не испытывал зубной боли и не терял зубы. В последние десятилетия отмечается, что стоматологические патологии возникают на 20% чаще.

После удаления зубов важно быстро восстановить зубной ряд, чтобы не терять функциональность оставшихся зубов и способность качественного жевания. Важно учитывать некоторые особенности:

  • Несъемное протезирование зубов – лучшее решения для восстановления зубного ряда, при котором врач установит протезы, снимать их может тоже только стоматолог.
  • Если для установки несъемного зубного протеза нет опоры, устанавливается имплант – искусственный корень, затем нагружают его коронкой. При полной адентии применяются методики, когда устанавливается 4 или 6 имплантов, и на них нагружают протезы и коронки по технологиям «Все на 4» и «Все на 6». Крепление несъемных зубных протезов проводится с помощью современных композитных материалов.
  • Естественные зубы с трещиной, сколом, небольшой пломбой можно восстановить, применяя вкладки, виниры и коронки.
  • К несъемному протезированию относят мостовидные протезы с опорой на соседние прочные зубы. Наиболее эффективный современный материал для изготовления мостов жевательных зубов – диоксид циркония, металокерамика. Во фронтальной зоне используется красивая, но менее прочная, керамика.
  • На базе современных технологий существует несколько щадящих способов, когда обрабатывается только фронтальная часть зуба, чтобы воздействие на зуб было минимальным, что дольше сохраняет ресурс единицы. Популярность набирает установка пластины на коронковую часть зуба, боковой и фронтальной зоны в рамках художественной реставрации. Такое протезирование позволяет значительно улучшить эстетику здоровых зубов при небольших повреждениях. Культевые вкладки изготавливают из диоксида циркония, металлических сплавов или керамики.
  • Практически во всех видах несъемного протезирования, кроме имплантации, зубной ряд может быть восстановлен при недостатке костной ткани.

Имплантация – самый эффективный метод несъемного протезирования

Импланты можно устанавливать на место любых отсутствующих зубов, от одной единицы, до полной адентии. При этом сам имплант уже является опорой для установки несъемного зубного протеза и коронки. Подтачивать соседние зубы не потребуется. Если отсутствует несколько зубов, можно установить имплант взамен каждого зуба.

Процесс имплантации представляет собой поэтапные процедуры:

  • Вживление корня с установкой заглушки;
  • Остеоинтеграционный период, когда корень обрастает собственными естественными тканями;
  • Установка временной коронки;
  • Нагрузка абатментом и постоянной коронкой.

Существуют методики с моментальной нагрузкой, когда временная коронка устанавливается сразу при установке импланта, и процесс остеоинтеграции проходит уже с коронкой, а пациент может жевать пищу и красиво улыбаться. При полной имплантации (установке имплантов на место каждого зуба) нет требований к наличию опорных зубов и подтачиванию соседних единиц.

Процесс, в котором проводится имплантация одного или нескольких зубов, называют частичной имплантацией. Полная имплантация проводится при полной адентии, при этом поставить несъемные зубные протезы можно на все зубы. Это очень дорогостоящий и длительный процесс, упростить который позволяют инновационные процедуры Аll-Оn-4 и Аll-Оn-6, при которых достаточно установить всего 4 или 6 имплантов, остальные зубы заполнить мостовидными протезами с опорами на импланты.

Для изготовления имплантов используют современные материалы, которые отличаются прочностью, антиаллергическими компонентами, достаточной биосовместимостью. Чаще всего это титан. Для изготовления коронок используют прочный диоксид циркония. Коронки, как несъемные протезы зубов полностью имитируют внешний вид зубов, отлично подходят для жевания при приеме пищи, не влияют на дикцию, способны переносить значительные нагрузки.

Несъемные мостовидные протезы

Мостовидный несъемный протез позволяет восстановить несколько зубов сразу. Для установки моста потребуются опорные зубы, но, если их нет, роль опоры может выполнять имплант. Современные протоколы «Все на шесть», «Все на 4» предназначены для протезирования верхнего и нижнего зубного ряда. Протоколы позволяют протезировать зубы при полной адентии. Что касается частичной адентии, потери нескольких зубов, с этим вполне справляются мостовидные протезы, или мосты с опорой на соседние зубы. Стоматолог осматривает полость рта и предлагает подходящие виды несъемного протезирования. Также обсуждается выбор материалов для восстановления зубов, которые имеют различную стоимость и могут существенно отличаться. Для изготовления несъемных протезов используют металлокерамику, керамику, диоксид циркония, в зависимости от места нахождения моста. Чтобы закрепить мостовидный протез, соседний зуб подтачивается.

Виниры

Виниры – это протезы зубов из керамики, представляющие собой тонкую пластинчатую конструкцию, которая состоит из тонких пластинок, предназначенных для восстановления и улучшения внешней части зуба. Виниры крепятся на внешней стороне передних зубов, поэтому с другой стороны обточка не требуется. Виниры устанавливают для улучшения эстетической составляющей, если собственные зубы справляются с функциями, но имеются незначительные повреждения, ухудшающие эстетику. Это долговечные конструкции, однако имеют свой срок эксплуатации – примерно 15-20 лет, после его их придется заменить. Виниры в качестве несъемных зубных протезов выручают людей, чья профессия связана с публичными выступлениями - их устанавливают пациенты, для которых красота улыбки находится на более высоком месте, чем просто функциональность.

Стоматологическая клиника «Интердентос» в Пушкино приглашает пациентов улучшить внешний вид зубов, устранить сколы, трещины избавиться от щелей между зубами, выровнять оттенок. Вам не придется удалять зубы, обтачивать их со всех сторон, что позволяет увеличить ресурс зуба, максимально сохранить эмаль, при этом ваша улыбка вполне сравнится с голливудской.

Вкладки для несъемного протезирования зубов

Если речь идет о сильном разрушении зуба, восстановить его можно при помощи вкладки, превосходящие по функциональности крупную пломбу. Установка вкладок позволяет подготовить зуб к нагрузке коронкой, защищая поврежденные участки. По сравнению с пломбой, вкладка служит дольше и отличается большей прочностью. Применять ее можно при разрушении зуба на 40-50 %, в случаях, когда пломба уже не функциональна. Как правило, вкладки закрывают коронками, чтобы защитить ткани от повреждения и дальнейшего разрушения. Вкладки под коронками создают лучшие опоры для крепления мостовидных протезов.

Материалами для вкладок служат керамика, металлокерамические смеси, диоксид циркония. Также остаются еще приверженцы золота (в случае зубов жевательной зоны). Временные вкладки изготавливают из прочной пластмассы.

Различают культевые вкладки для зубных каналов и конструкции для верхней части зубной единицы. Культевые вкладки выручают, когда зуб разрушен до такой степени, что даже штифты не дают гарантии прочности восстановленной части. Чтобы зафиксировать коронку с гарантией прочности, устанавливают вкладки, которые мы изготавливаем в нашей зуботехнической лаборатории.

Коронки

Коронки – самый распространенный вариант несъемного протеза, так как кроме самостоятельной единицы, они участвуют в других видах протезирования, например, в имплантации, мостовидных протезах. Коронка представляет собой предохранительную конструкцию, в точности повторяющую контуры зуба. Скрывая недостатки зуба, несъемный зубной протез обеспечивает надежную защиту, а вместе с тем, функциональность зуба. Так на жевательные и боковые зубы приходится максимальная нагрузка, для жевательных зубов выбирают прочную металлокерамику или металлы, сплавы. К передним зубам предъявляется больше требований по красоте и эстетике, поэтому чаще используется более дорогая и менее прочная керамика, максимально отвечающая требованиям эстетики. Прежде чем установить коронку, врач выявляет и устраняет недостатки, иначе воспаление может разрушить зуб под коронкой. Обязательно вылечивается кариес, устраняются иные патологии. Несъемные протезы на верхней и нижней челюсти отличаются по прочности. Так как на верхние зубы приходится более сильная нагрузка, то и коронка должна иметь большую прочность.

При помощи коронок можно восстановить один или несколько зубов. Основное требование – возможность закрепить коронку за соседние опоры. То есть обязательно должны присутствовать прочные соседние здоровые зубы, либо уже установленные импланты.

Как рассчитывается цена несъемного зубного протеза

Стоимость несъемного протеза немалая. Пациент должен обладать некоторой суммой, чтобы начать процесс. Цены протезов рассчитываются на консультации или первом приеме. Во внимание принимаются:

  • Количество зубов, которые необходимо протезировать;
  • Варианты креплений;
  • Наличие опорных зубов;
  • Есть ли коронки;
  • Проводится ли имплантация;
  • Необходимость в лечении текущих заболеваний;
  • Системные заболевания человека;
  • Какой материал выбирается для протезирования (керамика, металлокерамика, диоксид циркония).

Мы закупаем целые линейки материалов и обсуждаем с пациентом, какой вариант материалов выбрать – бюджетный или класса люкс, предлагаем акции, например, устанавливаем импланты Штрауманн по сниженным ценам.

Подбор несъемных зубных протезов

Чтобы выбрать вид и тип несъемного протеза и материалы для изготовления, необходимо пройти осмотр ортопеда стоматолога и сделать снимки. Диагностика проводится за один день. На основании этих данных врач делает индивидуальное назначение и согласует его с пациентом, рассчитает стоимость лечения зубов. Показания к лечению обязательно дополняются данными по общему состоянию человека, поэтому при одинаковой проблеме результат может быть разным. Важно понимать, в каком состоянии находятся соседние зубы, какие заболевания полости рта можно вылечить, а при каких тот или иной вид коррекции невозможен. Важно устранить кариес, вылечить пародонтоз, исключить пародонтит, чтобы не перевести заболевания в хронические.

Несъемные зубные протезы устанавливаются с помощью современных компьютерных программ, цифрового оборудования. Врачи и техники подходят к проблемам профессионально, чтобы не допускать осложнений. Протезы изготавливаются в собственной лаборатории клиники «Интердентос» (Пушкино). Все необходимая аппаратура для изготовления аккуратных и качественных протезов, аналогов естественных зубов, есть в нашей клинике.

Записаться на прием можно в любое рабочее время по телефонам нашего сайта. Звоните для консультаций!


Консилиум врачей в подарок Получить подарок