Исправление прикуса
Ежедневно с 8:00 до 21:00
Общий номер
1-й Некрасовский пр-д., д.13
Отдел качества
Услуги
Услуги
Наши врачи ортодонты
Цены на исправление прикуса
Исправление прикуса
TENS терапия
-
Депрограммирование нижней челюсти с помощью аппарата ТЭНС
10417
-
Депрограммирование нижней челюсти с помощью аппарата ТЭНС (повторный прием)
6945
Аксиография
-
Аксиография (цифровая) височно-нижнечелюстного сустава
30383
-
Аксиография (цифровая) височно-нижнечелюстного сустава на этапе лечения
15191
-
Аксиография (цифровая) височно-нижнечелюстного сустава (из других ЛПУ)
39376
Безлигатурные брекеты
-
Металлические самолигирующие брекеты СмартКлип (брекеты и замки на одну челюсть)
40953
-
Ортодонтическая коррекция - Применение брекет-системы Металлические самолигирующие брекеты Damon Q или Q2 (брекеты и замки на одну челюсть)
63657
-
Ортодонтическая коррекция - Применение брекет-системы Металлические саморегулирующие брекеты Pitts 21 (брекеты и замки на 1 челюсть)
72966
Брекеты
-
Ортодонтическая коррекция - Применение брекет-системы Carriere SLX 3D (брекеты и замки на одну челюсть)
52736
-
Применение брекет-системы Н4 10 шт. (брекеты и замки на одну челюсть)
62855
-
Применение комбинированной самолигирующей брекет-системы керамические брекеты Damon Сlear 12 шт. + металлические брекеты Damon Q 8 шт (брекеты и замки на две челюсти)
134906
Гнатология
-
Консультация гнатолога
2035
Диагностика ВНЧС
-
Компьютерная томография ВНЧС двух суставов в двух положениях с описанием
5775
-
Компьютерная томография ВНЧС двух суставов в двух положениях с описанием для др. ЛПУ
8663
-
Определение смыкания зубов при помощи аппарата Миотроник
7272
Капы для исправления прикуса
-
Изготовление ретенционой капы прозрачной
6971
-
Коррекция прикуса с использованием съемныхи несъемных ортопедических конструкций, контрольный прием при лечении сплинтом, шиной, капой, коррекция капы на этапе лечения
5539
Керамические брекеты
-
Керамические самолигирующие брекеты Damon Clear 20 шт. (брекеты и замки на две челюсти)
196227
-
Керамические самолигирующие брекеты Кларити 20 шт. (брекеты и замки на две челюсти)
77814
Кондилография
-
Кондилография
38588
-
Кондилография (повторная)
16538
Лечение ВНЧС
-
Коррекция прикуса с использованием съемных и несъемных конструкций, окклюзионная каппа для лечения дисфункции ВНЧС (СПЛИНТ)
35137
-
Прием (осмотр, консультация) врача-стоматолога. Повторная консультация специалиста по итогам результатов исследования ВНЧС
3750
Лечение с помощью пластинок
-
Изготовление и установка Аппарата HAAS Марко Росса
60764
-
Изготовление и установка Аппарата Twin-block
44163
-
Изготовление Пластинки без винта
22533
-
Изготовление Пластинки с винтом
24501
-
Изготовление Пластинки с винтом Бертони
27348
-
Изготовление Пластинки с двумя винтами
25263
-
Изготовление пластинки с заслонкой для языка
22141
-
Изготовление Пластинки с тремя винтами
26723
Лечение элайнерами 3D Smile
-
Ортодонтическая коррекция съемным ортодонтическим аппаратом системы капп 3D-Smile для исправления аномалий прикуса (короткий курс)
146262
-
Ортодонтическая коррекция съемным ортодонтическим аппаратом системы капп 3D-Smile для исправления аномалий прикуса (полный курс)
263271
-
Ортодонтическая коррекция съемным ортодонтическим аппаратом системы капп 3D-Smile для исправления аномалий прикуса (суперкороткий курс)
75619
-
Прогнозирование результата лечения элайнерами 3D-Smile на основании КТ с моделированием движения корней (Виртуальный сетап)
87757
-
Прогнозирование результата лечения элайнерами 3D-Smile на основании ОПТГ (Виртуальный сетап)
43880
Лечение элайнерами Invisalign
-
1 посещение: слепки, заказ виртуального сетапа
48736
-
Ортодонтическая коррекция съемным ортодонтическим аппаратом системы капп Invisalign (14 шт.)
352884
-
Ортодонтическая коррекция съемным ортодонтическим аппаратом системы капп Invisalign (от 15 шт.)
468035
Лечение элайнерами StarSmile
-
1 посещение: слепки, заказ виртуального сетапа
37414
-
Ортодонтическая коррекция съемным ортодонтическим аппаратом системы капп Star Smile 10 шт
96533
-
Ортодонтическая коррекция съемным ортодонтическим аппаратом системы капп Star Smile 20 шт
176979
-
Ортодонтическая коррекция съемным ортодонтическим аппаратом системы капп Star Smile Full (от 21 шт.)
305688
-
Ортодонтическая коррекция съемным ортодонтическим аппаратом системы капп Star Smile 5шт
48270
Лингвальные брекеты Incognito
-
Лингвальные брекеты Incognito (за 1 челюсть)
173250
Металлические брекеты
-
Металлические лигатурные брекеты Thino (брекеты и замки на одну челюсть)
13929
-
Металлические самолигирующие брекеты Damon Q или Q2 (брекеты и замки на одну челюсть)
63657
-
Ортодонтическая коррекция - Применение брекет-системы Металлические брекеты Discovery (брекеты и замки на одну челюсть)
36568
Открытый прикус
-
Аксиография (цифровая) височно-нижнечелюстного сустава
31598
-
Изготовление ретенционой капы прозрачной, одна челюсть
7807
-
Компьютерная томография челюстно-лицевой области
4213
-
Компьютерная томография челюстно-лицевой области, расширенная ДКТ челюстно-лицевой области (17х21)
4814
-
Контрольные приемы
533
-
Коррекция прикуса с использованием съемных и несъемных конструкций, окклюзионная каппа для лечения дисфункции ВНЧС (СПЛИНТ)
38333
-
Ортодонтическая коррекция - Применение брекет-системы керамические самолигирующие брекеты Damon Clear 20 шт. (брекеты и замки на две челюсти)
217030
-
Ортодонтическая коррекция - Применение брекет-системы керамические самолигирующие брекеты Кларити 20 шт. (брекеты и замки на две челюсти)
80927
-
Ортодонтическая коррекция - Применение брекет-системы Металлические самолигирующие брекеты Damon Q или Q2 (брекеты и замки на одну челюсть)
66204
-
Ортодонтическая коррекция - Применение брекет-системы Н4 20 шт. (брекеты и замки на две челюсти)
130739
-
Ортодонтическая коррекция - фиксация вестибулярных брекетов в полости рта (за 1 челюсть)
33378
-
Ортодонтическая коррекция съемным ортодонтическим аппаратом системы капп 3D-Smile для исправления аномалий прикуса (короткий курс)
152112
-
Ортодонтическая коррекция съемным ортодонтическим аппаратом системы капп 3D-Smile для исправления аномалий прикуса (полный курс)
273801
-
Ортодонтическая коррекция съемным ортодонтическим аппаратом системы капп 3D-Smile для исправления аномалий прикуса (суперкороткий курс)
78644
-
Ортодонтическая коррекция съемным ортодонтическим аппаратом системы капп 3D-Smile для исправления аномалий прикуса на одной челюсти
182534
-
Ортодонтическая коррекция съемным ортодонтическим аппаратом системы капп 3D-Smile с моделированием движения корней для исправления аномалий прикуса (безлимитный курс)
304224
-
Ортодонтическое скрепление металлической проволокой - Установка Несъемного ретейнера (1 зубной ряд)
25617
-
Планирование лечения элайнерами на основании анализа диагностических моделей
11620
-
Прием (осмотр, консультация) врача-ортодонта первичный
1838
-
Проведение Расширенной 3D-цефалометрии
7875
-
Проведение Стандартной 3D-цефалометрии
7350
-
Прогнозирование результата лечения элайнерами (Виртуальный сетап)
28287
-
Прогнозирование результата лечения элайнерами 3D-Smile на основании КТ с моделированием движения корней (Виртуальный сетап)
91267
-
Прогнозирование результата лечения элайнерами 3D-Smile на основании ОПТГ (Виртуальный сетап)
45634
-
Услуги по обслуживанию ортодонических аппаратов - снятие брекет-системы (1 челюсть)
6361
Ретейнеры
-
Изготовление ретенционной пластинки, 1 челюсть
13752
-
Установка несъемного ретейнера (1 зубной ряд)
22872
Снятие брекет-системы
-
Изготовление ретенционой капы прозрачной, одна челюсть
6971
-
Ортодонтическое скрепление металлической проволокой - Установка Несъемного ретейнера (1 зубной ряд)
22872
-
снятие брекет-системы (1 челюсть)
5679
Трейнеры
-
Ортодонтическая коррекция съемным ортодонтическим аппаратом - трейнером для брекетов
12987
-
Ортодонтическая коррекция съемным ортодонтическим аппаратом - трейнером преортодонтическим
16467
-
Ортодонтическая коррекция съемным ортодонтическим аппаратом - трейнером финишным ретенционным
13718
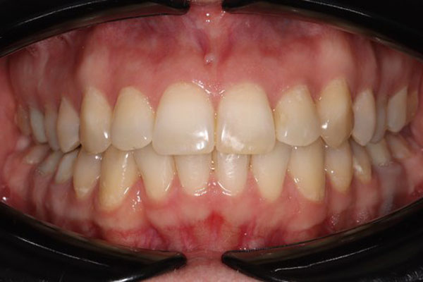
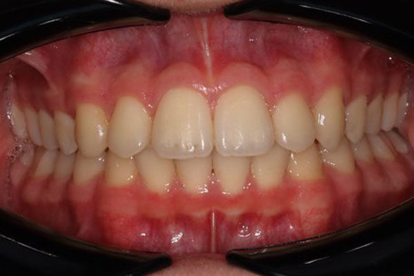
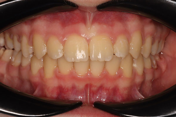
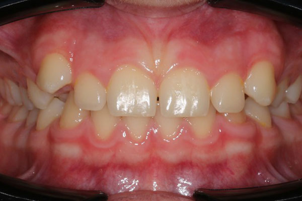
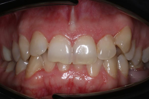
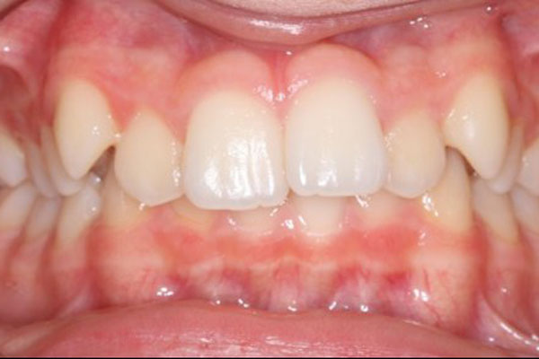
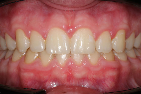
Исправление прикуса: фото До и После
Акции
Наши клиники
Клиника в г. Пушкино
Наши лицензии
Исправление прикуса у взрослых в Пушкино: цены, методы, этапы лечения
Ищете, где профессионально исправить прикус в Пушкино? Стоматологическая клиника «Интердентос» специализируется на ортодонтическом лечении для взрослых пациентов. Мы понимаем, что решение начать лечение во взрослом возрасте требует особого подхода, максимального комфорта и внимания к эстетике. Именно поэтому в нашем арсенале — полный спектр современных и малозаметных методик, позволяющих достичь идеального результата с учетом ваших пожеланий.
Почему важно исправить прикус? Неправильный прикус (открытый, глубокий, перекрестный) — это не просто неровные зубы. Он приводит к неравномерной нагрузке на зубной ряд, вызывая их преждевременное стирание, сколы и разрушение. Зачастую это является ключевой причиной заболеваний десен, хронических головных и шейных болей, щелчков и дискомфорта в челюстном суставе (дисфункция ВНЧС). Ортодонтическое лечение решает эти проблемы, восстанавливая правильную функцию жевания, предотвращая дальнейшие осложнения и даря красивую, здоровую улыбку.
Как проходит лечение в «Интердентос»? Процесс всегда начинается с тщательной консультации ортодонта и комплексной диагностики. Врач проводит детальный осмотр, анализирует данные компьютерной томографии (КТ) и 3D-цефалометрии. Это позволяет оценить состояние не только зубов, но и костной ткани, а также работу височно-нижнечелюстного сустава. На основе этого составляется индивидуальный пошаговый план лечения и создается виртуальный 3D-сетап — наглядная модель будущего результата.
Для лечения мы используем проверенные и эффективные системы:
- Прозрачные элайнеры (3D-Smile, StarSmile): Незаметные съемные каппы для комфортной коррекции.
- Самолигирующие брекеты Damon: Эффективные и физиологичные системы (как металлические, так и эстетические керамические), сокращающие общее время лечения.
- Лингвальные брекеты Incognito: Абсолютно невидимые конструкции, фиксируемые с внутренней стороны зубов.
- Каждое лечение завершается ретенционным периодом — изготовлением индивидуальных ретейнеров (несъемной шины или прозрачной каппы), чтобы закрепить результат на всю жизнь.
Наши преимущества:
- Опыт с 1998 года: Многолетний экспертный подход и собственная научная база для решения даже сложных случаев.
- Передовая диагностика: Использование цифровых технологий (КТ, 3D-цефалометрия, аксиография) для безупречного планирования.
- Полный цикл лечения: От первичной диагностики и терапии дисфункции ВНЧС до фиксации идеального результата.
- Сеть клиник: Удобство наблюдения в пяти городах Подмосковья: Пушкино, Королёв, Мытищи, Щелково и Балашиха.
Исправление прикуса — это уверенность в себе и вклад в долгосрочное здоровье. Запишитесь на консультацию в «Интердентос», чтобы сделать первый шаг к идеальной улыбке.