Ежедневно с 8:00 до 21:00

+7 (495) 223-60-90

1-й Некрасовский пр-д., д.13

+7 (495) 104-42-00

Отдел качества

+7 (495) 801-68-68

Общий номер

+7 (495) 223-60-90

1-й Некрасовский пр-д., д.13

+7 (495) 104-42-00

Отдел качества

Ежедневно с 8:00 до 21:00

Взрослая стоматология
Косметология
+7 (495) 801-68-68

Общий номер

+7 (495) 223-60-90

1-й Некрасовский пр-д., д.13

+7 (495) 104-42-00

Отдел качества

Взрослая стоматология
Косметология

Протезирование зубов

Современная стоматология имеет обширный арсенал для протезирования зубов. Сегодня применяются усовершенствованные системы крепления, которые не причиняют дискомфорта пациенту. Материалы высочайшего уровня позволяют воссоздать зубной ряд, внешне нисколько не отличающийся от естественного.

Ценовая политика нашей клиники в Пушкино делает современное протезирование доступным большинству пациентов. Специалисты «Интердентос» способны убрать любые дефекты, позволив каждому улыбаться беззаботно и широко!

9 клиник

9 клиник

В 5 городах подмосковья:
Королёв, Мытищи, Щёлково, Пушкино и Балашиха.
с 1998 года

с 1998 года

Многолетний накопленный опыт и собственная научная база позволяет решать даже самые сложные случаи
250 тысяч пациентов

250 тысяч пациентов

Доверили нам своё здоровье.
80% из них
— пришли к нам по рекомендациям

Виды зубных протезов

  • Для изготовления съёмных используется современный пластик, отличающийся большой прочностью. По своему характеру протезы могут быть как частичными, так и полными, помогают воссоздать несколько зубов или целый ряд. Хороши в качестве временных, пока не будет подготовлена несъёмная конструкция.
  • Коронки из керамики и металлокерамики, из диоксида циркония, мостовидные протезы, вкладки — несъёмные конструкции, которые становятся отличной заменой утраченных зубов. Они разрабатываются с учетом состояния зубов пациента и его индивидуальных особенностей.
  • Импланты. Новейшая технология имплантации предполагает вживление в челюсть стержня, на котором впоследствии закрепляется ортопедическая конструкция. С помощью данного вида протезирования можно полностью восстановить зубы, при этом имеющиеся здоровые не будут повреждены.

Быстрая запись на приём

Оставьте номер телефона и администратор перезвонит Вам в течение 5 минут.

img

Спасибо!

Наши специалисты свяжутся с вами в ближайшее время.

Ежедневно с 8:00 до 21:00

+7 (495) 801-68-68

Общий номер

+7 (495) 223-60-90

1-й Некрасовский пр-д., д.13

+7 (495) 104-42-00

Отдел качества

Услуги

Услуги

Услуги

Несъемное протезирование

Врачи ортопедического отделения

Все врачи

Наше оборудование

CEREC - технология художественной реставрации зубов за 2 часа

CEREC - технология художественной реставрации зубов за 2 часа

CAD/CAM система CEREC позволяет проводить лечение и протезирование зубов быстро и с высокой точностью – благодаря специальному сканеру, воспроизводящему модель зуба в 3D. CEREC Omnicam, MEDIT  i700,  PrimeScan.
Дентальный микроскоп

Дентальный микроскоп

Использование ультрасовременных дентальных микроскопов создает уникальные возможности для спасения «безнадежных зубов». Микроскопы:  Advanced,  Karl Kaps,  Carl Zeiss EXTARO 300, Prima D с вариоскопом.
3D томограф Galileos

3D томограф Galileos

Охватывает всю зубочелюстную систему, включая пазухи. А благодаря 3D-моделированию аппарат  позволяет повысить диагностическую точность и виртуально спланировать наиболее эффективное лечение.
Артикулятор

Артикулятор

Является универсальным прибором для диагностики и терапии, он имитирует жевательные движения, точно определяя анатомические особенности пациента и незаменим при изготовлении ортопедических конструкций.
Дентальный компьютерный томограф Planmeca ProMax

Дентальный компьютерный томограф Planmeca ProMax

Уникальный компьютерный томограф для качественной диагностики  и планирования лечения
Sleeper One - электронная система анестезии

Sleeper One - электронная система анестезии

Система анестезии нового поколения, объём, скорость и давление подачи препарата контролируется электронной системой. Специальные иглы обеспечивают безболезненность и снижают травматичность тканей.
Стоматологическая установка DENTSPLY SIRONA

Стоматологическая установка DENTSPLY SIRONA

Признаны стоматологами во всём мире, как наиболее совершенные и комфортные, обладающие передовыми характеристиками. Обладают наградами iF Design Gold Award и German Design Award.
Интраоральный 3D-сканер

Интраоральный 3D-сканер

3D-сканирование можно назвать новым стандартом в стоматологической практике, который становится всё более распространенным. 3D-сканер позволяет достичь высочайшей точности и качества в протезировании.

Цены на протезирование зубов

Все цены

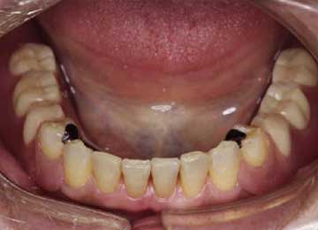
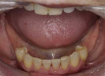
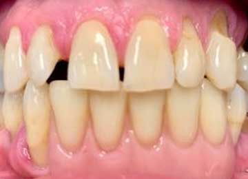
Протезирование: фото До и После

Фото ДО
Фото ПОСЛЕ

Наведите для просмотра

Коронка на имплант

Фото ДО
Фото ПОСЛЕ

Наведите для просмотра

Коронка на имплант

Фото ДО
Фото ПОСЛЕ

Наведите для просмотра

Коронка на имплант

Фото ДО
Фото ПОСЛЕ

Наведите для просмотра

Коронки

Фото ДО
Фото ПОСЛЕ

Наведите для просмотра

Акри Фри

Фото ДО
Фото ПОСЛЕ

Наведите для просмотра

Акри Фри

Фото ДО
Фото ПОСЛЕ

Наведите для просмотра

Акри Фри

Фото ДО
Фото ПОСЛЕ

Наведите для просмотра

Нейлоновые протезы

Фото ДО
Фото ПОСЛЕ

Наведите для просмотра

Нейлоновые протезы

Фото ДО
Фото ПОСЛЕ

Наведите для просмотра

Нейлоновые протезы

Фото ДО
Фото ПОСЛЕ

Наведите для просмотра

Бюгельное протезирование

Фото ДО
Фото ПОСЛЕ

Наведите для просмотра

Бюгельное протезирование

Фото ДО
Фото ПОСЛЕ

Наведите для просмотра

Бюгельное протезирование

Фото ДО
Фото ПОСЛЕ

Наведите для просмотра

Бюгельное протезирование

Наши клиники

Клиника в г. Пушкино

Наши лицензии

Лечение проводится на основании действующих медицинских лицензий Л041-01162-50/00360420 и Л041-01162-50/00367813. Это гарантирует, что все процедуры — от диагностики до реставрации — выполняются безопасно, с использованием сертифицированных материалов и оборудования, в строгом соответствии с российскими стандартами.

Л041-01162-50/00360420 Л041-01162-50/00360420

Открыть PDF
Л041-01162-50/00367813-1 Л041-01162-50/00367813

Л041-01162-50/00367813-2 Л041-01162-50/00367813

Л041-01162-50/00367813-3 Л041-01162-50/00367813

Л041-01162-50/00367813-4 Л041-01162-50/00367813

Л041-01162-50/00367813-5 Л041-01162-50/00367813

Л041-01162-50/00367813-6 Л041-01162-50/00367813

Л041-01162-50/00367813-7 Л041-01162-50/00367813

Л041-01162-50/00367813-8 Л041-01162-50/00367813

Л041-01162-50/00367813 Л041-01162-50/00367813

Открыть PDF
<p>
     В нашей клинике применяются новейшие методы, лучшие материалы, а врачи имеют высочайшую квалификацию. Стоимость работы в клинике «Интердентос» в Пушкино будет зависеть от:
</p>
<p>
</p>
<ul>
    <li>вида;</li>
    <li>материалов, которые будут использованы;</li>
    <li>объёма предстоящего протезирования.</li>
</ul>
<h2>5 причин обратиться в клинику «Интердентос» в Пушкино</h2>
<ol>
    <li>Высокий уровень исполнения любых ортопедических процедур, как на имеющихся здоровых зубах, так и на имплантах или же культевых вкладках.</li>
    <li>Все мероприятия проводятся в кратчайшие сроки, так как у нас имеется собственная лаборатория по изготовлению протезов любой степени сложности. На время производства постоянных конструкций устанавливаются временные, которые идеально маскируют имеющийся дефект.</li>
    <li>Все операции проводятся под качественной анестезией;.</li>
    <li>Используются лучшие материалы.</li>
    <li>Врачи-стоматологи отличаются высокой квалификацией и имеют большой опыт.</li>
</ol>
<p>
     Мы чётко следуем имеющимся стандартам здравоохранения, поэтому обращаясь к нам, вы передаёте решение своих проблем в надёжные руки. Здоровье наших пациентов всегда в полной безопасности! Мы вернем вашей улыбке красоту, а вам – уверенность в себе!
</p>
Консилиум врачей в подарок Получить подарок