Ежедневно с 8:00 до 21:00

+7 (495) 223-60-90

1-й Некрасовский пр-д., д.13

+7 (495) 104-42-00

Отдел качества

+7 (495) 801-68-68

Общий номер

+7 (495) 223-60-90

1-й Некрасовский пр-д., д.13

+7 (495) 104-42-00

Отдел качества

Ежедневно с 8:00 до 21:00

Взрослая стоматология
Косметология
+7 (495) 801-68-68

Общий номер

+7 (495) 223-60-90

1-й Некрасовский пр-д., д.13

+7 (495) 104-42-00

Отдел качества

Взрослая стоматология
Косметология

Реставрация зубов

Реставрация зубов – это одно из основных направлений работы медицинского центра «Интердентос» в Пушкино. Реставрация является необходимым этапом в восстановлении утраченной функциональности зубов, их эстетичности. Реставрация требуется, когда зуб был утрачен вследствие травмы или заболевания, а также если был полностью или частично удалён стоматологом для решение проблемы с зубным рядом.

9 клиник

9 клиник

В 5 городах подмосковья:
Королёв, Мытищи, Щёлково, Пушкино и Балашиха.
с 1998 года

с 1998 года

Многолетний накопленный опыт и собственная научная база позволяет решать даже самые сложные случаи
250 тысяч пациентов

250 тысяч пациентов

Доверили нам своё здоровье.
80% из них
— пришли к нам по рекомендациям
-0

Восстановление зубов от настоящих профессионалов

В клинике «Интердентос» в Пушкино работают только опытные стоматологи, которые ответственно подходят к своей работе и, точно ювелиры или художники, восстанавливают красоту и здоровье ваших зубов.

При этом следует отметить, что мы используем только современные материалы, которые отвердевают на свету, служат долго, имеют цвет, максимально приближенный к естественному оттенку зубов, поэтому восстановленные зубы имеют ту же функциональность и смотрятся очень естественно и красиво.

Быстрая запись на приём

Оставьте номер телефона и администратор перезвонит Вам в течение 5 минут.

img

Спасибо!

Наши специалисты свяжутся с вами в ближайшее время.

Ежедневно с 8:00 до 21:00

+7 (495) 801-68-68

Общий номер

+7 (495) 223-60-90

1-й Некрасовский пр-д., д.13

+7 (495) 104-42-00

Отдел качества

Услуги

Услуги

Наши врачи

Все врачи

Наше оборудование

CEREC - технология художественной реставрации зубов за 2 часа

CEREC - технология художественной реставрации зубов за 2 часа

CAD/CAM система CEREC позволяет проводить лечение и протезирование зубов быстро и с высокой точностью – благодаря специальному сканеру, воспроизводящему модель зуба в 3D. CEREC Omnicam, MEDIT  i700,  PrimeScan.
Дентальный микроскоп

Дентальный микроскоп

Использование ультрасовременных дентальных микроскопов создает уникальные возможности для спасения «безнадежных зубов». Микроскопы:  Advanced,  Karl Kaps,  Carl Zeiss EXTARO 300, Prima D с вариоскопом.
3D томограф Galileos

3D томограф Galileos

Охватывает всю зубочелюстную систему, включая пазухи. А благодаря 3D-моделированию аппарат  позволяет повысить диагностическую точность и виртуально спланировать наиболее эффективное лечение.
Дентальный компьютерный томограф Planmeca ProMax

Дентальный компьютерный томограф Planmeca ProMax

Уникальный компьютерный томограф для качественной диагностики  и планирования лечения
Sleeper One - электронная система анестезии

Sleeper One - электронная система анестезии

Система анестезии нового поколения, объём, скорость и давление подачи препарата контролируется электронной системой. Специальные иглы обеспечивают безболезненность и снижают травматичность тканей.
Стоматологическая установка DENTSPLY SIRONA

Стоматологическая установка DENTSPLY SIRONA

Признаны стоматологами во всём мире, как наиболее совершенные и комфортные, обладающие передовыми характеристиками. Обладают наградами iF Design Gold Award и German Design Award.

Цены на восстановление зубов

Все цены

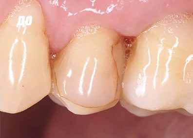
Реставрация зубов: фото До и После

Фото ДО
Фото ПОСЛЕ

Наведите для просмотра

Реставрация зубов

Фото ДО
Фото ПОСЛЕ

Наведите для просмотра

Реставрация CEREC

Фото ДО
Фото ПОСЛЕ

Наведите для просмотра

Реставрация CEREC

Фото ДО
Фото ПОСЛЕ

Наведите для просмотра

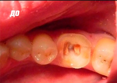
Реставрация жевательных зубов

Фото ДО
Фото ПОСЛЕ

Наведите для просмотра

Реставрация CEREC

Наши клиники

Клиника в г. Пушкино

Наши лицензии

Лечение проводится на основании действующих медицинских лицензий Л041-01162-50/00360420 и Л041-01162-50/00367813. Это гарантирует, что все процедуры — от диагностики до реставрации — выполняются безопасно, с использованием сертифицированных материалов и оборудования, в строгом соответствии с российскими стандартами.

Л041-01162-50/00360420 Л041-01162-50/00360420

Открыть PDF
Л041-01162-50/00367813-1 Л041-01162-50/00367813

Л041-01162-50/00367813-2 Л041-01162-50/00367813

Л041-01162-50/00367813-3 Л041-01162-50/00367813

Л041-01162-50/00367813-4 Л041-01162-50/00367813

Л041-01162-50/00367813-5 Л041-01162-50/00367813

Л041-01162-50/00367813-6 Л041-01162-50/00367813

Л041-01162-50/00367813-7 Л041-01162-50/00367813

Л041-01162-50/00367813-8 Л041-01162-50/00367813

Л041-01162-50/00367813 Л041-01162-50/00367813

Открыть PDF

Когда необходима реставрация?

Основными показаниями являются:

  • лечение кариеса: позволяет устранить появившуюся полость и сделать это эстетично, так, чтобы пломба не выделялась на фоне здоровых зубов;
  • отсутствие одного из зубов на челюсти;
  • необходимость придания зубу естественной анатомической формы;
  • наличие визуальных дефектов зубов;
  • изменение цвета зуба в результате заболевания.

Почему стоит реставрировать зубы?

Потому что мы используем только качественные современные материалы, которые служат долго и отличаются высокой прочностью. Отреставрированный зуб можно скорректировать при необходимости. Кроме того, это совершенно недорогая и доступная процедура, которая выполняется обычно за один, максимум за два визита к стоматологу! Приходите в «Интердентос» в Пушкино за красотой улыбки!

Консилиум врачей в подарок Получить подарок