Ежедневно с 8:00 до 21:00

+7 (495) 223-60-90

1-й Некрасовский пр-д., д.13

+7 (495) 104-42-00

Отдел качества

+7 (495) 801-68-68

Общий номер

+7 (495) 223-60-90

1-й Некрасовский пр-д., д.13

+7 (495) 104-42-00

Отдел качества

Ежедневно с 8:00 до 21:00

Взрослая стоматология
Косметология
+7 (495) 801-68-68

Общий номер

+7 (495) 223-60-90

1-й Некрасовский пр-д., д.13

+7 (495) 104-42-00

Отдел качества

Взрослая стоматология
Косметология

Детская стоматология

Существует мнение, что детская стоматология буквально ничем не отличается от взрослой, и многие пациенты, не вникая в подробности, беспечно верят в это заблуждение. На самом деле, эти две области стоматологии принципиально отличаются друг от друга. В первую очередь, следует учитывать, что хороший взрослый стоматолог - это опытный специалист, получивший хорошее образование и обширный опыт. А вот детский врач вдобавок к перечисленным качествам ещё должен быть детским психологом и педиатром, ведь процессы, происходящие в теле ребёнка, зачастую отличаются от того, что характерно для организма взрослого человека.

Услуги таких, хорошо подготовленных, опытных детских стоматологов предлагает клиника «Интердентос» в городе Пушкино.

9 клиник

9 клиник

В 5 городах подмосковья:
Королёв, Мытищи, Щёлково, Пушкино и Балашиха.
с 1998 года

с 1998 года

Многолетний накопленный опыт и собственная научная база позволяет решать даже самые сложные случаи
250 тысяч пациентов

250 тысяч пациентов

Доверили нам своё здоровье.
80% из них
— пришли к нам по рекомендациям
-0

Полный комплекс стоматологических услуг для малышей и подростков

Детская стоматология «Интердентос» в Пушкино готова предложить самым маленьким пациентам следующий спектр услуг:

  • профилактика болезней ротовой полости;
  • устранение дисфункций и сбоев в работе жевательно-речевого аппарата;
  • оказание помощи и проведение терапии зубов и ротовой полости для устранения последствий травм;
  • восстановление молочных и коренных зубов;
  • удаление зубов под безопасным наркозом;
  • пластическая коррекция уздечки языка.

Быстрая запись на приём

Оставьте номер телефона и администратор перезвонит Вам в течение 5 минут.

img

Спасибо!

Наши специалисты свяжутся с вами в ближайшее время.

Ежедневно с 8:00 до 21:00

+7 (495) 801-68-68

Общий номер

+7 (495) 223-60-90

1-й Некрасовский пр-д., д.13

+7 (495) 104-42-00

Отдел качества

Полный спектр услуг

Детские стоматологи

Все врачи

Наше оборудование

3D томограф Galileos

3D томограф Galileos

Охватывает всю зубочелюстную систему, включая пазухи. А благодаря 3D-моделированию аппарат  позволяет повысить диагностическую точность и виртуально спланировать наиболее эффективное лечение.
ICON - лечение кариеса без препарирования

ICON - лечение кариеса без препарирования

ICON - специальный препарат в виде геля, который наносится на участок зуба и глубоко проникает в его ткани, уничтожая кариозные образования и укрепляя ткани зуба.
SAF - революция в лечении зубных каналов

SAF - революция в лечении зубных каналов

Самоадаптирующийся файл из сплава никеля и титана - эффективен в самых сложных случаях лечения каналов, максимально сохраняет здоровые ткани и форму каналов.
Стоматологическая установка DENTSPLY SIRONA

Стоматологическая установка DENTSPLY SIRONA

Признаны стоматологами во всём мире, как наиболее совершенные и комфортные, обладающие передовыми характеристиками. Обладают наградами iF Design Gold Award и German Design Award.

Цены на детскую стоматологию

Все цены

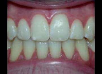
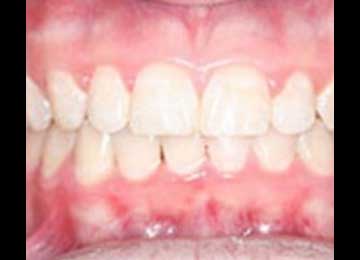
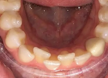
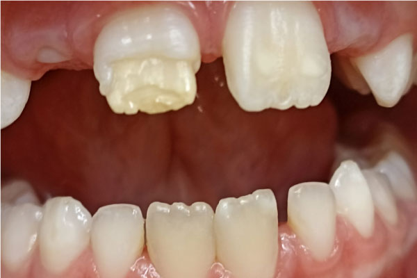
Примеры лечения зубов детям

Фото ДО
Фото ПОСЛЕ

Наведите для просмотра

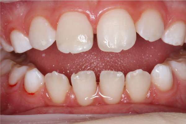
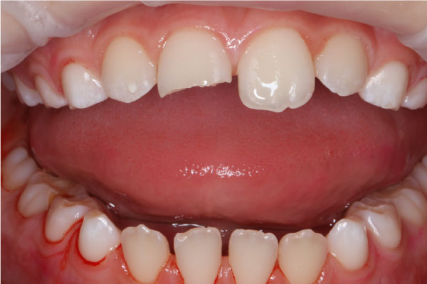
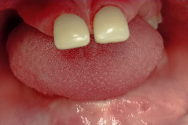
Реставрация скола переднего зуба у ребенка

Фото ДО
Фото ПОСЛЕ

Наведите для просмотра

Лечение кариеса молочных зубов

Фото ДО
Фото ПОСЛЕ

Наведите для просмотра

Восстановление зуба после травмы

Фото ДО
Фото ПОСЛЕ

Наведите для просмотра

Коронки на передние молочные зубы

Фото ДО
Фото ПОСЛЕ

Наведите для просмотра

Эстетическая реставрация молочных зубов

Фото ДО
Фото ПОСЛЕ

Наведите для просмотра

Восстановление молочного зуба

Фото ДО
Фото ПОСЛЕ

Наведите для просмотра

Капа для выравнивая зубов

Фото ДО
Фото ПОСЛЕ

Наведите для просмотра

Исправление прикуса у детей

Фото ДО
Фото ПОСЛЕ

Наведите для просмотра

Исправление прикуса у детей

Фото ДО
Фото ПОСЛЕ

Наведите для просмотра

Лечение пульпита молочных + восстановление стальной коронкой

Фото ДО
Фото ПОСЛЕ

Наведите для просмотра

Лечение детского кариеса

Фото ДО
Фото ПОСЛЕ

Наведите для просмотра

Коронки на молочные зубы

Наши клиники

Клиника в г. Пушкино

Наши лицензии

Лечение проводится на основании действующих медицинских лицензий Л041-01162-50/00360420 и Л041-01162-50/00367813. Это гарантирует, что все процедуры — от диагностики до реставрации — выполняются безопасно, с использованием сертифицированных материалов и оборудования, в строгом соответствии с российскими стандартами.

Л041-01162-50/00360420 Л041-01162-50/00360420

Открыть PDF
Л041-01162-50/00367813-1 Л041-01162-50/00367813

Л041-01162-50/00367813-2 Л041-01162-50/00367813

Л041-01162-50/00367813-3 Л041-01162-50/00367813

Л041-01162-50/00367813-4 Л041-01162-50/00367813

Л041-01162-50/00367813-5 Л041-01162-50/00367813

Л041-01162-50/00367813-6 Л041-01162-50/00367813

Л041-01162-50/00367813-7 Л041-01162-50/00367813

Л041-01162-50/00367813-8 Л041-01162-50/00367813

Л041-01162-50/00367813 Л041-01162-50/00367813

Открыть PDF

Основные особенности лечения зубов в клинике «Интердентос»

Стремясь обеспечить пациента детского отделения комфортом и спокойствием, каждый из сотрудников отделения для самых маленьких выстраивает с ним дружеские, теплые отношения, основываясь на богатом положительном опыте общения с детьми. Мы уделяем максимум внимания комфорту маленьких пациентов, и это касается не только медицинских, но и интерьерных аспектов. Приходя в нашу клинику, малыш оказывается в сказке с игрушками, добрыми врачами, безболезненным лечением. Мы применяем широкий спектр обезболивающих средств, что позволяет с одной стороны, лечить малыша не причиняя ему боли, а с другой - не акцентировать лишнего внимания на манипуляциях врача.

Преимущества лечения в нашей клинике

Клиника «Интердентос» располагает лицензией и всеми разрешительными документами. Лечение осуществляется с применением современного, надежного оборудования. Врачи нашего медицинского центра – опытные, квалифицированные и добросовестные специалисты. Каждый из них, прежде чем попасть в штат клиники, прошел скрупулезную проверку профессиональных и коммуникативных навыков. Все материалы и инструменты, которые применяют в детском отделении стоматологии «Интердентос», рассчитаны именно на маленьких пациентов.

Все манипуляции, связанные с обезболиванием, осуществляются только анестезиологами и обязательно с учетом индивидуальных особенностей пациента. В нашей клинике трудятся не просто хорошие специалисты, но и терпеливые, любящие детей люди. Наши сотрудники прекрасно отдают себе отчет в том, что каждый родитель волнуется о здоровье своего чада, и поэтому доктора уделяют достаточно внимания вопросам консультации, объясняя родителям, как будет осуществляться лечение, и почему именно этот путь наиболее эффективен.

Все наши специалисты, включая младший медицинский персонал, регулярно проходят специальные семинары, конференции, вебинары, повышая свою квалификацию и оттачивая профессиональные навыки.

Организации рабочего процесса уделяется особое внимание. В детской стоматологии «Интердентос» в Пушкино в детском отделении вас встретят опытные доктора. Действует система предварительной записи на приём. Что это означает для пациента и его родителей? В первую очередь то, что стоять в очередях и терять свое время посетителям клиники не придется. Обращайтесь в любое удобное время, и мы поможем справиться с зубной болью – без страха и излишних переживаний. «Интердентос» – это современное, комфортабельное медицинское учреждение, сотрудники которого уделяют внимание не только итоговому результату лечения, но и эмоциональному состоянию пациентов!

Консилиум врачей в подарок Получить подарок