Услуги центра стоматологии в Пушкино
Совместные консультации
Профилактика и гигиена
Если осталось мало своих зубов или вообще не осталось
Антистресс лечение
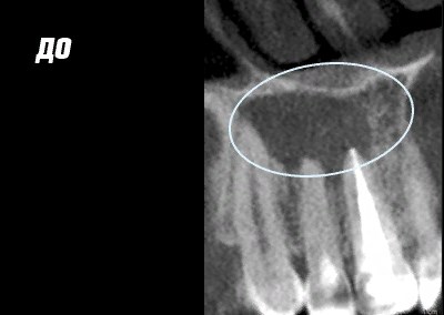
Если зуб отсутствует или разрушен
Если зуб болит
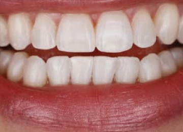
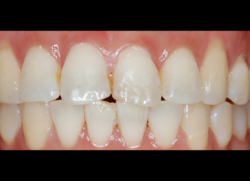
Сделать зубы ровными и красивыми
Узнавайте об акциях первыми!
Узнавайте об акциях первыми!
Подпишитесь на наши социальные сети и вы не только будете узнавать о всех специальных предложениях первыми, но и сможете узнать о новинках в области стоматологии.
Статьи
Дезинфекция и стерилизация медицинских инструментов в клинике "Интердентос"
В клинике «Интердентос» особое внимание уделяется организации и проведению
Применяемые технологии:





группа Вконтакте
канал в Телеграм

Клиника уровня «Эксперт»
с 8:00 до 21:00, ежедневно