Ежедневно с 8:00 до 21:00

+7 (495) 223-60-90

1-й Некрасовский пр-д., д.13

+7 (495) 104-42-00

Отдел качества

+7 (495) 801-68-68

Общий номер

+7 (495) 223-60-90

1-й Некрасовский пр-д., д.13

+7 (495) 104-42-00

Отдел качества

Ежедневно с 8:00 до 21:00

Взрослая стоматология
Косметология
+7 (495) 801-68-68

Общий номер

+7 (495) 223-60-90

1-й Некрасовский пр-д., д.13

+7 (495) 104-42-00

Отдел качества

Взрослая стоматология
Косметология

Имплантация зубов

Красивая улыбка – визитная карточка успешного человека. Вы понимаете это, но не можете себе позволить открыто смеяться и без стеснения общаться, потому что зубы далеки от идеала? Приходите в клинику «Интердентос» в Пушкино – мы восстановим зубной ряд и вернем вам уверенность в себе. В нашем центре имплантации зубов вас ждут:

  • Квалифицированные специалисты с 20-летним опытом.
  • Имплантация зубов с пожизненной гарантией на сертифицированные импланты, изготовленные в Германии, Швейцарии и Южной Корее.
  • Разумные цены на услуги.

Мы придерживаемся европейских стандартов и гарантируем качественный результат, при этом вам не придется переплачивать.

9 клиник

9 клиник

В 5 городах подмосковья:
Королёв, Мытищи, Щёлково, Пушкино и Балашиха.
с 1998 года

с 1998 года

Многолетний накопленный опыт и собственная научная база позволяет решать даже самые сложные случаи
250 тысяч пациентов

250 тысяч пациентов

Доверили нам своё здоровье.
80% из них
— пришли к нам по рекомендациям

Возможности имплантации зубов

Современные исследования показывают, что почти в 70% случаев для восстановления утраченного зуба лучше использовать имплант. Операция предусматривает вживление в костную ткань челюсти штифта, который и становится опорой для протеза. Имплантация зубов заслуженно считается наиболее эффективным методом восстановления целостности зубного, и тому есть несколько веских причин:

  • не приходится обтачивать соседние здоровые зубы;
  • так можно восстановить как несколько зубов, так и весь зубной ряд – и на верхней, и на нижней челюсти;
  • протез фиксируется с максимальной надежностью;
  • при жевании не возникает дискомфорта или каких-либо сложностей;
  • костная ткань подвергается необходимым нагрузкам и не атрофируется;
  • легко подобрать подходящий протез, который будет выглядеть, как естественный зуб.

Чтобы гарантировать успешный результат имплантации зубов, мы проводим всестороннюю диагностику, анализируем состояние пациента. На основании этого врач-имплантолог разрабатывает план терапии и подбирает имплант с учетом ваших пожеланий:

  • премиум-класса, Ankylos (Германия) и Straumann (Швейцария);
  • эконом-класса Osstem (Южная Корея).

Быстрая запись на приём

Оставьте номер телефона и администратор перезвонит Вам в течение 5 минут.

img

Спасибо!

Наши специалисты свяжутся с вами в ближайшее время.

Ежедневно с 8:00 до 21:00

+7 (495) 801-68-68

Общий номер

+7 (495) 223-60-90

1-й Некрасовский пр-д., д.13

+7 (495) 104-42-00

Отдел качества

Услуги

Показать всё

Услуги

Показать всё

Врачи имплантологи

Все врачи

Наше оборудование

3D томограф Galileos

3D томограф Galileos

Охватывает всю зубочелюстную систему, включая пазухи. А благодаря 3D-моделированию аппарат  позволяет повысить диагностическую точность и виртуально спланировать наиболее эффективное лечение.
Дентальный компьютерный томограф Planmeca ProMax

Дентальный компьютерный томограф Planmeca ProMax

Уникальный компьютерный томограф для качественной диагностики  и планирования лечения
Sleeper One - электронная система анестезии

Sleeper One - электронная система анестезии

Система анестезии нового поколения, объём, скорость и давление подачи препарата контролируется электронной системой. Специальные иглы обеспечивают безболезненность и снижают травматичность тканей.
Стоматологическая установка DENTSPLY SIRONA

Стоматологическая установка DENTSPLY SIRONA

Признаны стоматологами во всём мире, как наиболее совершенные и комфортные, обладающие передовыми характеристиками. Обладают наградами iF Design Gold Award и German Design Award.

Цены на имплантацию зубов

Все цены

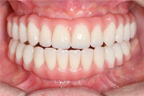
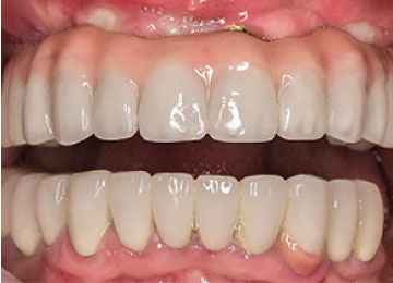
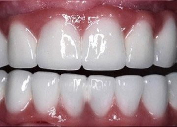
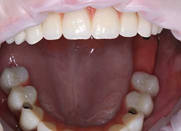
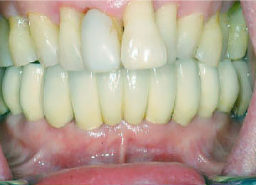
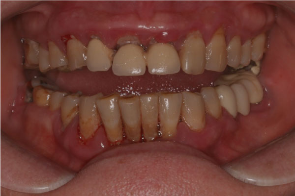
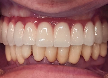
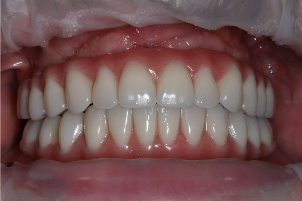
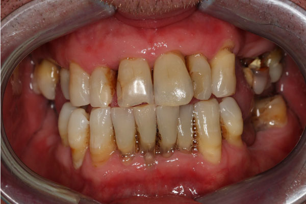
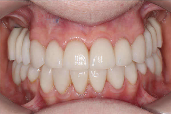
Имплантация зубов: фото "До" и "После"

Фото ДО
Фото ПОСЛЕ

Наведите для просмотра

All-on-4

Фото ДО
Фото ПОСЛЕ

Наведите для просмотра

All-on-4

Фото ДО
Фото ПОСЛЕ

Наведите для просмотра

All-on-4

Фото ДО
Фото ПОСЛЕ

Наведите для просмотра

All-on-4

Фото ДО
Фото ПОСЛЕ

Наведите для просмотра

All-on-6

Фото ДО
Фото ПОСЛЕ

Наведите для просмотра

All-on-6

Фото ДО
Фото ПОСЛЕ

Наведите для просмотра

All-on-6

Фото ДО
Фото ПОСЛЕ

Наведите для просмотра

All-on-6

Фото ДО
Фото ПОСЛЕ

Наведите для просмотра

All-on-4

Фото ДО
Фото ПОСЛЕ

Наведите для просмотра

All-on-4

Фото ДО
Фото ПОСЛЕ

Наведите для просмотра

All-on-4

Фото ДО
Фото ПОСЛЕ

Наведите для просмотра

All-on-4

Фото ДО
Фото ПОСЛЕ

Наведите для просмотра

All-on-4

Фото ДО
Фото ПОСЛЕ

Наведите для просмотра

All-on-4

Фото ДО
Фото ПОСЛЕ

Наведите для просмотра

All-on-4

Наши клиники

Клиника в г. Пушкино

Наши лицензии

Лечение проводится на основании действующих медицинских лицензий Л041-01162-50/00360420 и Л041-01162-50/00367813. Это гарантирует, что все процедуры — от диагностики до реставрации — выполняются безопасно, с использованием сертифицированных материалов и оборудования, в строгом соответствии с российскими стандартами.

Л041-01162-50/00360420 Л041-01162-50/00360420

Открыть PDF
Л041-01162-50/00367813-1 Л041-01162-50/00367813

Л041-01162-50/00367813-2 Л041-01162-50/00367813

Л041-01162-50/00367813-3 Л041-01162-50/00367813

Л041-01162-50/00367813-4 Л041-01162-50/00367813

Л041-01162-50/00367813-5 Л041-01162-50/00367813

Л041-01162-50/00367813-6 Л041-01162-50/00367813

Л041-01162-50/00367813-7 Л041-01162-50/00367813

Л041-01162-50/00367813-8 Л041-01162-50/00367813

Л041-01162-50/00367813 Л041-01162-50/00367813

Открыть PDF

Преимущества имплантов

Обратившись в нашу клинику для проведения имплантации зубов, многие клиенты задают вопрос, какими плюсами обладает процедура. Главными являются следующие:

  • Гарантируемая приживаемость — положительный результат наблюдается в 96-99% случаев.
  • Полное восстановление жевательной функции.
  • Высокая эстетичность — естественная улыбка, которая не заставит вас стесняться.
  • Пожизненный срок службы.

Что такое стоматологическая имплантация

Не так давно для восстановления утраченных зубов использовались довольно неудобные протезы. Они были заметны, создавали определенный дискомфорт и не давали чувства уверенности в себе. Имплантация стала настоящим открытием, и сегодня этот метод отработан до мелочей. В костную ткань челюсти вживляются опорные штифты, изготовленные из биосовместимых материалов (титана). Когда они срастаются с костью, на них фиксируется коронки или мостовидные протезы.

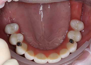
Дентальный имплант представляет собой:

  • штифт с винтом, который имитирует зубной корень;
  • абатмент, позволяющий устанавливать протезную конструкцию;
  • коронковую часть.

У штифта шероховатая поверхность, способствующая остеоинтеграции. Специальная форма и пористая структура обеспечивает приживаемость в 96-99% операций.

Изготовление коронковой части проходит в нашей лаборатории, поэтому пациентам не приходится слишком долго ждать. Мы изготавливаем протез, который полностью повторяет утраченный зуб и соответствует ему по форме, по размеру, и по цвету эмали.

Показания к проведению имплантации

Основные показания к установке имплантов – это:

  • частичное или полное отсутствие зубов;
  • высокая подвижность зубных единиц;
  • выпадение зубов;
  • повышенная чувствительность десен;
  • неприятные ощущения от съемного протеза;
  • поздние стадии пародонтита;
  • дефекты прикуса и речи;
  • атрофия кости челюсти;
  • невозможность установить съемный протез.

Позвоните и запишитесь на консультацию! В случае необходимости врач-стоматолог вылечит имеющиеся заболевания полости рта, чтобы существующие на слизистой болезнетворные бактерии не вызвали инфекцию и отторжение импланта.

Противопоказания

Хирургическое вмешательство не допускается, если у пациента есть определенные заболевания:

  • сахарный диабет первого типа;
  • онкология;
  • гемофилия и заболевания свертываемости крови;
  • ВИЧ и иные иммунодефицитные состояния;
  • болезни, препятствующие нормальной регенерации костной ткани;
  • хронические заболевания слизистой рта или протекающие остро воспалительные процессы;
  • инфекционные болезни;
  • неврологические и психические болезни.

Некоторые противопоказания относительны, другие являются абсолютными. Если дентальная имплантация оказывается невозможной, наши специалисты подберут другой способ восстановления зубного ряда.

Как проходит процедура имплантации зубов

Имплантация зубов относится к хирургическим операциям. Чтобы гарантировать результат, наши врачи внимательно подходят к каждому пациенту, тщательно собирают анамнез и назначают анализы. В процессе осмотра определяется наличие противопоказаний, подбирается подходящий тип имплантов.

Процедура длится около часа. Она проводится под анестезией и состоит из нескольких этапов:

  • Сначала в челюсть вживляется имплантат и накладывается шов. Ложе подготавливается специальной фрезой, после чего помещается конструкция из биосовместимого материала.
  • Через определенное время шов снимается и устанавливается формирователь десны.
  • Устанавливается абатмент.
  • Изготавливается протезная конструкция.
  • Когда штифт полностью прижился, фиксируется протез.

Обратите внимание: не менее чем за час перед операцией можно есть и принимать прописанные врачом лекарственные средства.

После операции может наблюдаться некоторая отечность, которая проходит на вторые сутки. Реабилитационный период может проходить спокойно или с умеренной болезненностью. Для того чтобы снять болевые ощущения, врач может назначить подходящие препараты и обезболивающие. Вам не придется кардинально менять привычный образ жизни, но все же стоит воздержаться от алкоголя, курения и активных занятий спортом.

Методы имплантации

В клинике «Интердентос» имплантация одного зуба, восстановление части или целого зубного ряда может проходить следующими методами:

  • Двухэтапный. В этом случае имплантат сначала вживляется в кость челюсти, а повторная операция с установкой абатмента и коронковой части переносится на четыре-шесть месяцев. Такой вариант подходит при необходимости восстановления жевательных зубов.
  • Одноэтапный. Пациенту сразу устанавливаются имплантат и абатмент, а через несколько дней на абатменте фиксируется временная коронка. Этот метод подходит для передних зубов, когда требуется как можно скорее убрать эстетический дефект.
  • Одномоментный. Как только удаляется поврежденный зуб, на его место сразу устанавливается имплантат. Преимущества такого способа в том, что не нужно проводить костную пластику и повторную операцию позже.
  • Экспресс-метод. В этом случае не нужно разрезать поверхность десны. Осуществляется прокол, благодаря чему длительность этапа реабилитации сокращается.

Выбор конкретного метода осуществляется на основании показателей состояния здоровья пациента.

Сколько стоит имплантация зубов

В нашей клинике цены на имплантацию зубов определяются в индивидуальном порядке. Факторы, влияющие на конечную стоимость, таковы:

  • Тип операции: проходить процедура может в один или два этапа.
  • Используемые материалы: в зависимости от производителя расценки меняются. Мы учитываем возможности пациента, подбирая оптимальное решение.
  • Число устанавливаемых имплантатов: на одну челюсть может устанавливаться от шести до восьми, но всегда принимается во внимание состояние костной ткани пациента и прочие показания.
  • Необходимость синус-лифтинга: если естественная костная ткань начала атрофироваться, без подобной процедуры не обойтись.

Почему стоит выбрать «Интердентос»

Наш медицинский центр работает с 1998 года. Команда опытных стоматологов-имплантологов точно знает, как восстановить зубной ряд и подарить вам уверенность в себе:

  • Применяются современные методы анестезии, гарантирующие отсутствие неприятных ощущений.
  • Имплантаты устанавливаются за 20-30 минут.
  • План лечения формируется с учетом особенностей пациента и его финансовых возможностей. Предлагаем кредит и рассрочку.
  • Наши эксперты консультируют и поддерживают пациентов от первичного осмотра до полного восстановления.

Мы найдем решение даже в самом сложном случае и предоставим гарантию, подтверждающую, что установленный имплант не доставит вам неудобств в случае точного соблюдения рекомендаций лечащего врача, правильной гигиены и регулярных плановых осмотров.

Профессиональная имплантация зубов в медицинском центре «Интердентос» – это сертифицированные материалы, разумные цены и гарантированный результат! Позвоните и запишитесь на консультацию – мы подробнее расскажем о предстоящей процедуре и точно подсчитаем, сколько будет стоить имплант!

Вопросы-Ответы

У меня отсутствует только один зуб, что порекомендуют ваши эксперты? /Ангелина, 29 лет/

Выбор оптимального решения возможен только после проведения очной консультации. Решением проблемы может стать как съемный протез, так и установка имплантата, благодаря которой полностью восстановятся как функции зуба, так и красота улыбки.


Когда проводится синус-лифтинг? Эта процедура обязательна, если нужна имплантация передних зубов? /Дмитрий, 46 лет/

После удаления зуба со временем костная ткань начинает атрофироваться, если отсутствует жевательная нагрузка. В этом случае требуется провести синус-лифтинг. Кроме того, операцию назначают, если обнаруживается, что гайморова пазуха располагается близко к ротовой полости, и объема собственной костной ткани недостаточно.


У меня полная адентия, можно ли восстановить зубы? /Кирилл, 58 лет/

Да, запишитесь на консультацию в наш медицинский центр – мы подберем оптимальный способ восстановления зубного ряда! Например, для этого можно выбрать съемные протезы. Благодаря современным технологиям, съемные конструкции не вызывают дискомфорта, к ним можно быстро привыкнуть. Кроме того, есть нет никаких противопоказаний к хирургическому вмешательству, наша клиника предлагает провести протезирование на имплантатах. Существуют технологии All-on-4 или All-on-6, позволяющие восстановить всю челюсть целиком.


Больно ли будет устанавливать имплантаты? /Марина, 42 года/

В медицинском центре «Интердентос» в Пушкино созданы комфортные условия для каждого пациента. Мы заботимся не только о здоровье и красоте зубов, но и о вашем спокойствии. Применяем современные методы обезболивания, в том числе проводим операцию под седацией, поэтому наши пациенты не испытывают болевых ощущений.

Консилиум врачей в подарок Получить подарок