Ежедневно с 8:00 до 21:00

+7 (495) 223-60-90

1-й Некрасовский пр-д., д.13

+7 (495) 104-42-00

Отдел качества

+7 (495) 801-68-68

Общий номер

+7 (495) 223-60-90

1-й Некрасовский пр-д., д.13

+7 (495) 104-42-00

Отдел качества

Ежедневно с 8:00 до 21:00

Взрослая стоматология
Косметология
+7 (495) 801-68-68

Общий номер

+7 (495) 223-60-90

1-й Некрасовский пр-д., д.13

+7 (495) 104-42-00

Отдел качества

Взрослая стоматология
Косметология

Стоматолог детский

Гибадуллина Зухра Загидовна

  • Проводит лечение в наркозе, в седации (закись азота)
  • Специалист по протезированию, ставит коронки детям и подросткам
  • В совершенстве владеет методикой лечения при травме временных и постоянных зубов
Гибадуллина Зухра Загидовна
Зухра Загидовна - опытный врач-терапевт, детский стоматолог с впечатляющим стажем работы в стоматологии - 33 года. С 2005 года она успешно трудится в медицинском центре, где оказывает высококачественную медицинскую помощь своим пациентам.

Зухра Загидовна специализируется на детской стоматологии и принимает маленьких пациентов любого возраста. Ее способность легко находить подход к детям и мягко адаптировать их к приему и лечению делает ее востребованным специалистом среди родителей. Она осуществляет все виды лечения как молочных, так и постоянных зубов. Зухра Загидовна также имеет опыт работы с проведением процедур в наркозе, седации и под местной анестезией, что позволяет обеспечить максимальный комфорт и безопасность во время лечения.

Зухра Загидовна может принимать взрослых пациентов по рекомендации, что является свидетельством ее доверия и высокого профессионализма. С ее помощью пациенты могут рассчитывать на качественное лечение и заботу, а также на индивидуальный подход к их потребностям и пожеланиям.

Стаж работы

32 года

Принимает клиниках

  • Клиника в г. Пушкино

Специализация

  • Стоматолог детский

Сертификаты

1601
1602
1603
1604

Отзывы по врачу

Читать все отзывы

Врач: Гибадуллина Зухра Загидовна

С дочкой несколько лет приезжаем в "Интердентос" — очень нравится эта клиника. Всегда приветливые администраторы и тёплая атмосфера.

Отдельная благодарность врачу Зухре Загидовне. У нас особенный ребёнок, и доктор сразу смогла ...
С дочкой несколько лет приезжаем в "Интердентос" — очень нравится эта клиника. Всегда приветливые администраторы и тёплая атмосфера.

Отдельная благодарность врачу Зухре Загидовне. У нас особенный ребёнок, и доктор сразу смогла найти подход, всё тщательно объясняет, показывает, как ухаживать за зубами, и в целом относится с вниманием.

Дважды лечили зубы под общим наркозом, всё прошло отлично, а врачи-анестезиологи и после процедуры связывались и узнавали, как себя чувствует ребёнок.

Продолжаем регулярно посещать эту клинику для чистки зубов. Ребёнок не боится, спокойно ходит на процедуры. Спасибо всей команде и особенно нашему врачу Зухре Загидовне!
Показать весь отзыв

Врач: Гибадуллина Зухра Загидовна

Замечательный врач, ничего лишнего не наговаривает все по факту и по делу ,лечили зубы ребенку 2,5 года под наркозом врач справилась за час с небольшим,так же на консультации проявляет понимание к маленьким пациентам и не настаивает на осмотре ,а жде...
Замечательный врач, ничего лишнего не наговаривает все по факту и по делу ,лечили зубы ребенку 2,5 года под наркозом врач справилась за час с небольшим,так же на консультации проявляет понимание к маленьким пациентам и не настаивает на осмотре ,а ждет когда ребенок сам откроет рот. После лечения ребенок сказал что ему понравилось.
Показать весь отзыв

Врач: Гибадуллина Зухра Загидовна

Великолепная клиника! Начиная от приятных администраторов, которые всегда готовы ответить и помочь! Обращалась с детьми, ранее были у доктора Гайворонской В.А. , сын остался очень доволен, хотя до этого очень боялся врачей(был неприятный опыт в д...
Великолепная клиника! Начиная от приятных администраторов, которые всегда готовы ответить и помочь! Обращалась с детьми, ранее были у доктора Гайворонской В.А. , сын остался очень доволен, хотя до этого очень боялся врачей(был неприятный опыт в другой клинике). Сейчас посещали врача Гибадуллину З.З. с сыном и младшей дочкой. Только приятные впечатления! Дети готовы приходить на лечение с радостью! Ответили на все вопросы, выписали необходимые справки. Благодарю весь персонал за добросовестное и душевное отношение!
Показать весь отзыв

Врач: Гибадуллина Зухра Загидовна; Потемкин Александр Сергеевич

Являюсь пациентом клиники уже более 10 лет. Клиника вообще сразу понравилась, и со временем изменилась к лучшему в техническую сторону, а в "душевную" не изменилась совсем. Врачи профессионалы своего дела, и очень приветливые люди, что тоже...
Являюсь пациентом клиники уже более 10 лет. Клиника вообще сразу понравилась, и со временем изменилась к лучшему в техническую сторону, а в "душевную" не изменилась совсем. Врачи профессионалы своего дела, и очень приветливые люди, что тоже располагает. Делала в этой клинике много всего - и восстанавливала зубы у Гибадуллиной Зухры Загидовны (она чудесный врач и душевный человек), и проходила поэтапную имплантацию с помощью Александра Сергеевича Потёмкина (безусловный асс своего дела). Особо хочу отметить любую работу хирурга Лагутина Сергея Анатольевича, обращалась с разными проблемами, всё решалось чётко, профессионально и с попутными обьяснениями для "чайников". Понравилась работа терапевта реставратора зубов - Щербаковой Марии, рекомендую её! Ежегодная гигиена зубов тоже оставляет положительные впечатления. Особо хочу отметить работу менеджеров клиники, в частности Людмилы и Виктории - замечательные люди, всегда "слышат" Клиента и идут навстречу. И самое главное - цены в "эксперт" Клинике конечно высокие, но это не останавливает по причине 100-процентного доверия специалистам. Клинику однозначно рекомендую! Может и не дёшево, по сравнению с другими, но однозначно "вкусно"
Показать весь отзыв

Врач: Гибадуллина Зухра Загидовна

Сын лечится у доктора Зухры Загидовны. Этот доктор просто ангел для деток. Мой ребёнок в восторге от врача. В клинике все профессионалы своего дела. Очень было сложно выбрать доктора, так как все как на подбор. Очень вежливые, добрые и светлые люди. ...
Сын лечится у доктора Зухры Загидовны. Этот доктор просто ангел для деток. Мой ребёнок в восторге от врача. В клинике все профессионалы своего дела. Очень было сложно выбрать доктора, так как все как на подбор. Очень вежливые, добрые и светлые люди. Я обязательно рекомендую посетить данную клинику!
Показать весь отзыв

Врач: Гибадуллина Зухра Загидовна

Зухра Загидовна-лучший детский стоматолог. Ни один доктор во всем Пушкинском районе (обошли около десяти врачей) не смог уговорить моего сына даже открыть рот, а она смогла, уговорила и полечила. Это было несколько лет назад, и с тех пор для ...
Зухра Загидовна-лучший детский стоматолог. Ни один доктор во всем Пушкинском районе (обошли около десяти врачей) не смог уговорить моего сына даже открыть рот, а она смогла, уговорила и полечила. Это было несколько лет назад, и с тех пор для моих деток (дочку тоже конечно стала лечить у Зухры Загидовны)- она лучший доктор!<br>
Ксати, Зухру Загидовну, мне посоветовал другой детский стоматолог из другой клиники- он сказал, что в Пушкино принимает волшебный доктор, и если она не сможет Вам помочь, то придется лечить под наркозом! И Зухра Загидовна смогла! Спасибо ей большое! Крепкого здоровья и послушных пациентов!
Показать весь отзыв

Работы врача

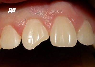
Фото ДО
Фото ПОСЛЕ

Наведите для просмотра

Удаление зубного камня

Фото ДО
Фото ПОСЛЕ

Наведите для просмотра

Реставрация скола переднего зуба

Клиники, в которых принимает специалист

Клиника в г. Пушкино

Консилиум врачей в подарок Получить подарок