Ежедневно с 8:00 до 21:00

+7 (495) 223-60-90

1-й Некрасовский пр-д., д.13

+7 (495) 104-42-00

Отдел качества

+7 (495) 801-68-68

Общий номер

+7 (495) 223-60-90

1-й Некрасовский пр-д., д.13

+7 (495) 104-42-00

Отдел качества

Ежедневно с 8:00 до 21:00

Взрослая стоматология
Косметология
+7 (495) 801-68-68

Общий номер

+7 (495) 223-60-90

1-й Некрасовский пр-д., д.13

+7 (495) 104-42-00

Отдел качества

Взрослая стоматология
Косметология

Стоматолог

Кузнецова Марианна Александровна

  • Эксперт по восстановлению зубов после травм (сколы, вывихи).
  • Контроль и лечение начального кариеса без препарирования (технология ICON).
  • Владеет методикой психологической адаптация взрослых пациентов к стоматологическому приему.
Кузнецова Марианна Александровна
Марианна Александровна - стоматолог общей практики, для которого лечение зубов - это ювелирная работа, требующая не только твёрдости рук, но и большого сердца. Она из тех врачей, кто подходит к каждому случаю как к произведению искусства: важно не просто закрыть проблему, а сделать это максимально бережно, эстетично и так, чтобы пациент забыл о дороге в стоматологию на долгие годы.

Фундамент её профессионализма: Московский государственный медико-стоматологический университет, где она получила классическое образование, а затем интернатуру, заложившую основу для работы с самыми разными клиническими ситуациями. Но настоящая страсть Марианны Александровны - это постоянное совершенствование. Она прошла десятки углублённых курсов по эндодонтии, эстетическим реставрациям, работе с микроскопом, керамике и даже дентальной фотографии. Особое внимание она уделяет сложным случаям: перелечиванию каналов, восстановлению зубов после осложнений, работе с современными материалами.

Пациенты ценят Марианну Александровну за её бережность, основательность и умение объяснять сложные вещи простыми словами. У неё всё по плану: сначала диагностика, потом честный разговор о вариантах лечения, а затем спокойная, выверенная работа, шаг за шагом возвращающая зубам здоровье и красоту. С ней даже самый тревожный пациент расслабляется, потому что чувствует: он в надёжных, заботливых руках профессионала с большим опытом и чутким сердцем.

Стаж работы

18 лет

Принимает клиниках

  • Клиника в г. Пушкино

Специализация

  • Стоматолог

Сертификаты

1720
1721
1722
1723
1724
1725
1726
1727
1728
1729
1730
1731
1732
1733
1734
1735
1736
1737

Отзывы по врачу

Читать все отзывы

Врач: Кузнецова Марианна Александровна

Я ходил к Марине Александровне на лечение пародонтоза — проблема была серьезной, и я боялся, что придется столкнуться с болью или сложностями. Однако врачи смогла меня успокоить буквально за несколько минут разговора. Она внимательно изучила состояни...
Я ходил к Марине Александровне на лечение пародонтоза — проблема была серьезной, и я боялся, что придется столкнуться с болью или сложностями. Однако врачи смогла меня успокоить буквально за несколько минут разговора. Она внимательно изучила состояние моих десен и предложила эффективную программу лечения. Процедуры прошли безболезненно, и уже через несколько сеансов я заметил значительное улучшение: десны перестали кровоточить, а зубы стали более устойчивыми. Спасибо врачу за профессионализм и заботу!
Показать весь отзыв

Врач: Кузнецова Марианна Александровна

Обратилась к Марине Александровне с проблемой чувствительности зубов и накопившимся налетом. Она сразу поняла, в чем дело, и предложила комплексное решение. Процедура чистки прошла очень комфортно — я даже не почувствовала боли или дискомфорта! После...
Обратилась к Марине Александровне с проблемой чувствительности зубов и накопившимся налетом. Она сразу поняла, в чем дело, и предложила комплексное решение. Процедура чистки прошла очень комфортно — я даже не почувствовала боли или дискомфорта! После лечения мои зубы стали намного белее и здоровее, а дыхание стало свежим. Особенно мне понравилось, как врач объяснила все этапы процедуры и дала полезные советы по уходу за полостью рта дома. Теперь я прихожу к ней регулярно на профилактические осмотры — это настоящая находка для тех, кто заботится о своем здоровье!
Показать весь отзыв

Врач: Кузнецова Марианна Александровна

Добрый день !  Я рад ,что  моя уверенность в профессионализме  и особом даре Кузнецовой Марианны  Александровны,  выполнять свою работу  так , что хочется приходить на приём только к ней , и...
Добрый день !  Я рад ,что  моя уверенность в профессионализме  и особом даре Кузнецовой Марианны  Александровны,  выполнять свою работу  так , что хочется приходить на приём только к ней , и только в эту клинику ! Человеческие качества, женская красота и глубокое знание своей профессии  
Марианны Александровны заслуживают ВЫСШЕЙ оценки .
Стоит высоко оценить  работу  и отношение к пациентам  Всего коллектива клиники Интердентос Пушкино. Так же хочу сердечно поблагодарить менеджера Букову Викторию Денисовну !
  С Уважением, Трубников О. В.
Показать весь отзыв

Работы врача

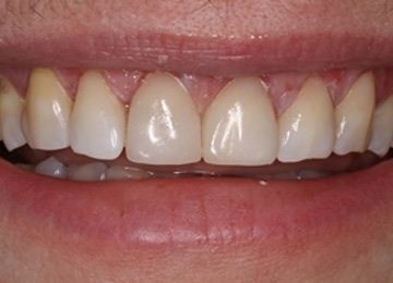
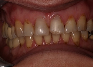
Фото ДО
Фото ПОСЛЕ

Наведите для просмотра

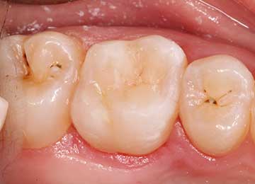
Композитные реставрации

Фото ДО
Фото ПОСЛЕ

Наведите для просмотра

Лечение кариеса с восстановлением композитом светового отверждения

Клиники, в которых принимает специалист

Клиника в г. Пушкино

Консилиум врачей в подарок Получить подарок