Ежедневно с 8:00 до 21:00

+7 (495) 223-60-90

1-й Некрасовский пр-д., д.13

+7 (495) 104-42-00

Отдел качества

+7 (495) 801-68-68

Общий номер

+7 (495) 223-60-90

1-й Некрасовский пр-д., д.13

+7 (495) 104-42-00

Отдел качества

Ежедневно с 8:00 до 21:00

Взрослая стоматология
Косметология
+7 (495) 801-68-68

Общий номер

+7 (495) 223-60-90

1-й Некрасовский пр-д., д.13

+7 (495) 104-42-00

Отдел качества

Взрослая стоматология
Косметология

Гигиенист

Линкова Светлана Ивановна

  • Эксперт по методикам фторпрофилактики и реминерализующей терапии
  • Профессиональная гигиена полости рта по GBT протоколу
  • Индивидуальный подбор средств гигиены
Линкова Светлана Ивановна
Светлана Ивановна - опытный стоматологический гигиенист с 22-летним стажем работы. 

Светлана Ивановна специализируется на проведении разностороннего комплекса профессиональной гигиены полости рта.
В зависимости от потребностей пациентов Светлана Ивановна предоставляет широкий спектр услуг, включая профессиональное отбеливание зубов, изготовление капп для домашнего отбеливания и реминерализацию эмали, а также глубокое фторирование. Она также акцентирует внимание на обучении пациентов правильной самостоятельной чистке зубов и подборе индивидуальных средств гигиены, чтобы каждый пациент мог поддерживать здоровье своей улыбки. 

Светлана Ивановна поможет вам улучшить качество вашей улыбки. Наши пациенты всегда остаются довольны результатами проведенной гигиены и очень ценят внимательный подход к работе.

Стаж работы

20 лет

Принимает клиниках

  • Клиника в г. Пушкино

Специализация

  • Гигиенист

Сертификаты

1739
1740
1741

Отзывы по врачу

Читать все отзывы

Врач: Линкова Светлана Ивановна

процедура заняла больше времени, чем я ожидал, но результат того стоил. сейчас у меня идеальная улыбка, и я полностью доволен результатом. Светлана — врач высокого уровня, который действительно заботится о пациентах. спасибо ей большое!...
процедура заняла больше времени, чем я ожидал, но результат того стоил. сейчас у меня идеальная улыбка, и я полностью доволен результатом. Светлана — врач высокого уровня, который действительно заботится о пациентах. спасибо ей большое!
Показать весь отзыв

Врач: Линкова Светлана Ивановна

профессионал своего дела. всегда улыбается, создает комфортную атмосферу. если у вас есть проблемы с деснами или просто хотите качественную чистку — записывайтесь к ней. доволен результатом...
профессионал своего дела. всегда улыбается, создает комфортную атмосферу. если у вас есть проблемы с деснами или просто хотите качественную чистку — записывайтесь к ней. доволен результатом
Показать весь отзыв

Врач: Линкова Светлана Ивановна

Светлана сделала всё аккуратно и безболезненно. теперь чувствую себя увереннее в своей улыбке. она очень внимательная и объясняет всё понятно. видно, что знает свое дело....
Светлана сделала всё аккуратно и безболезненно. теперь чувствую себя увереннее в своей улыбке. она очень внимательная и объясняет всё понятно. видно, что знает свое дело.
Показать весь отзыв

Врач: Линкова Светлана Ивановна

Выражаю благодарность Светлане Ивановне ,врачу гигиенисту ,за её волшебные ручки,внимательное отношение к пациенту,теплый прием. Спаибо за ваше внимание и за профессионализм....
Выражаю благодарность Светлане Ивановне ,врачу гигиенисту ,за её волшебные ручки,внимательное отношение к пациенту,теплый прием. Спаибо за ваше внимание и за профессионализм.
Показать весь отзыв

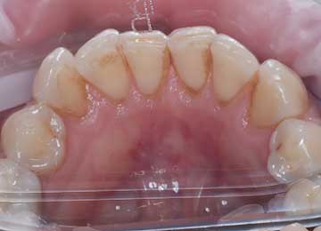
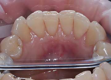
Работы врача

Фото ДО
Фото ПОСЛЕ

Наведите для просмотра

Профессиональная гигиена полости рта

Клиники, в которых принимает специалист

Клиника в г. Пушкино

Консилиум врачей в подарок Получить подарок