Коронки на молочные зубы в Пушкино
«Детские коронки» - может звучать странно, на самом деле это популярное современное решение для реставрации детских, поврежденных зубов и они имеют ряд неоспоримых плюсов.
Основные преимущества коронок на молочные зубы
- Коронки не мешают естественному прорезыванию зубов
- Возможно восстановление зуба, даже в запущенном состоянии
- Восстанавливают возможность ребенка тщательно пережевывать пищу
- Исправляю дефекты дикции, вследствие сильных повреждений зубов
- Способствуют правильному формированию прикуса
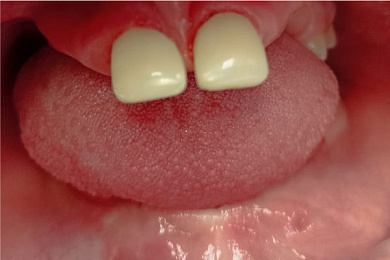
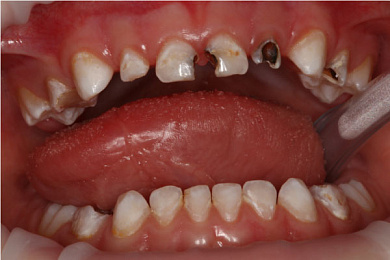
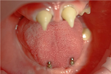
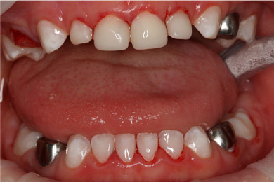
Примеры лечения зубов:
Статьи
Ваш ребенок боится стоматолога?
Мы воспринимаем это как должное, ведь когда-то сами были готовы на что угодно, лишь бы не идти к врачу. Но сейчас сами родители просто обязаны сделать для своего ребенка все возможное, чтобы разрешить распространенную ситуацию, когда ребенок боится стоматолога.
Нужно ли лечить молочные зубы?
Многие родители уверены, что нет никакого смысла лечить молочные зубы, ведь они обязательно поменяются. К сожалению, это опасное заблуждение чревато серьезными последствиями.
Врачи направления:
Цены:
Восстановление зуба коронкой, молочного зуба,стандартной металлической 3М
от 13443 р.
Восстановление зуба коронкой, молочного зуба,металлической с композитной облицовкой NuSmile
от 16121 р.
Наши лицензии:
Детские коронки служат вплоть до момента выпадения молочных зубов. Также, благодаря современным препаратам, процесс установки коронок может происходить под седацией или наркозом, если ребенку трудно усидеть продолжительное время в кресле .
Немаловажный плюс таких коронок, что они способны восстановить жевательную функцию даже сильно разрушенного зуба, тем самым предотвратить проблемы и с нарушением прикуса и с употреблением пище.

группа Вконтакте
канал в Телеграм




Клиника уровня «Эксперт»