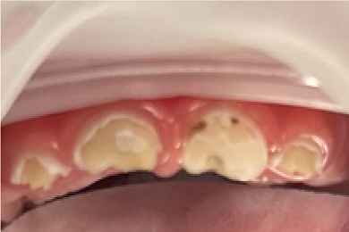
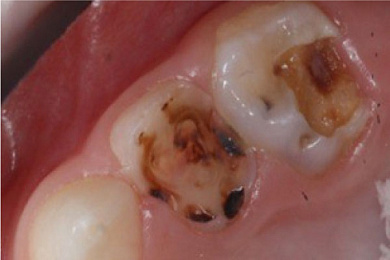
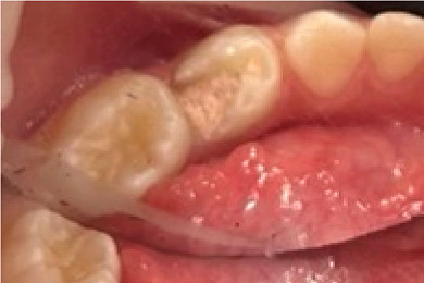
Пульпит молочных зубов чаще всего выявляется в период от 3 до 6 лет, причём симптомы могут быть расплывчатыми, боль то появляться, то уходить, а сам пульпит переходить в хроническую форму, беспокоя ребенка время от времени, что чревато осложнениями и распространением инфекции вглубь тканей полости рта, вплоть до зачатков постоянных зубов.
Профессиональное решение, с искренней заботой о Вашем будущем здоровье !
Из-за особенностей строения молочных зубов, размеров каналов, структуры тканей вокруг зуба, боль может то уходить, то нарастать, быть плохо-локализованной для восприятия ребёнка. Основными симптомами, указывающими на то, что у ребенка может быть пульпит, следующие:
может возникать отечность щеки, где расположен больной зуб
болезненная реакция на холодную или горячую пищу и напитки
Подпишитесь на наши социальные сети и вы не только будете узнавать о всех специальных предложениях первыми, но и сможете узнать о новинках в области стоматологии.
Мы воспринимаем это как должное, ведь когда-то сами были готовы на что угодно, лишь бы не идти к врачу. Но сейчас сами родители просто обязаны сделать для своего ребенка все возможное, чтобы разрешить распространенную ситуацию, когда ребенок боится стоматолога.
Многие родители уверены, что нет никакого смысла лечить молочные зубы, ведь они обязательно поменяются. К сожалению, это опасное заблуждение чревато серьезными последствиями.
Одна из основных тенденций современной стоматологии – сведение инвазивных вмешательств к минимуму, бережное и аккуратное отношение к зубным тканям. Благодаря микроскопу врачу не приходится убирать лишние ткани «на всякий случай» из-за невозможности разглядеть границу между б...
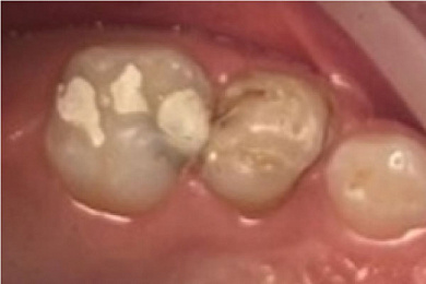
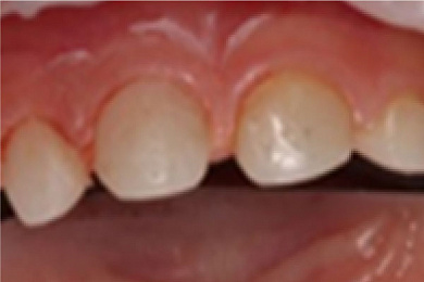
Консервативные и хирургические методы лечения пульпита молочных зубов
В зависимости от степени распространения воспаления, после проведения диагностики, врач может выполнить консервативное лечение, которое заключается в:
препарирование кариозной полости
удаление пораженных участков
использование антисептических средств и лечебных паст
восстановление зуба безопасными для детей, композитными материалами
Хирургическое лечение происходит уже с препарирование корневых каналов молочного зуба, удалением участков пульпы и последующим пломбированием каналов.
Необходимость лечения каналов молочных зубов у детей
В случае с молочными зубами, многие проблемы могут восприниматься без должного внимания, так как эти зубы всё равно выпадут, однако это неверно с точки зрения распространения инфекции на зачатки постоянных зубов. Кроме того, скрытые воспалительные процессы способны влиять на общий иммунитет ребёнка и его самочувствие. В совсем запущенных случаях, непролеченный пульпит может стать причиной тяжелых заболеваний:
абцесс или свищ
периодонтит
частые нарушение сна и повышенная температура у ребенка
Врачи стоматологии "Интердентос" рекомендуют внимательно относится к жалобам ребёнка на боль в молочных зубах и регулярно проходить профилактические осмотры, ведь здоровье постоянных зубов в немалой степени зависит от предшествующих им - молочных зубов.
С дочкой несколько лет приезжаем в "Интердентос" — очень нравится эта клиника. Всегда приветливые администраторы и тёплая атмосфера.
Отдельная благодарность врачу Зухре Загидовне. У нас особенный ребёнок, и доктор сразу смогла найти подход, всё тщательно объясняет, показывает, как ухаживать за з…
С дочкой несколько лет приезжаем в "Интердентос" — очень нравится эта клиника. Всегда приветливые администраторы и тёплая атмосфера.<br />
<br />
Отдельная благодарность врачу Зухре Загидовне. У нас особенный ребёнок, и доктор сразу смогла найти подход, всё тщательно объясняет, показывает, как ухаживать за зубами, и в целом относится с вниманием.<br />
<br />
Дважды лечили зубы под общим наркозом, всё прошло отлично, а врачи-анестезиологи и после процедуры связывались и узнавали, как себя чувствует ребёнок.<br />
<br />
Продолжаем регулярно посещать эту клинику для чистки зубов. Ребёнок не боится, спокойно ходит на процедуры. Спасибо всей команде и особенно нашему врачу Зухре Загидовне!
Вера Алексеевна профессионал высокого уровня. Обращались с ребёнком неоднократно, всегда получали помощь очень качественно. Ребёнок в кресле спокоен. идёт всегда с удовольствием. Огромная благодарность Вере Алексеевне..
Хочу выразить огромную благодарность Маштаковой Светлане Сергеевне. Врач с большой буквы. Лечили у неё зубки дочки 1.10 под наркозом всё прошло на высшем уровне, мы в восторге. Светлана Сергеевна очень внимательная и отзывчивая. Благодаря её волшебным рукам у нас у дочки красивая улыбка. Наша зубная фея быстро нашла п…
Хочу выразить огромную благодарность Маштаковой Светлане Сергеевне. Врач с большой буквы. Лечили у неё зубки дочки 1.10 под наркозом всё прошло на высшем уровне, мы в восторге. Светлана Сергеевна очень внимательная и отзывчивая. Благодаря её волшебным рукам у нас у дочки красивая улыбка. Наша зубная фея быстро нашла подход к дочке!! После лечения ребенок просыпался под присмотром анестезиолога. Как проснулась дочка, дали игрушку мягкую за смелость и чупа-чупс без сахара. На следующий день администраторы звонили, спрашивали, как самочувствие у дочки. Огромное спасибо администраторам, всегда вежливые и доброжелательные. Два часа делали зубки дочки, девочки всегда поддерживали и успокаивали. Клиника на высшем уровне, теперь лечение зубов только здесь. Мамочки, чьи детки будут лечить зубки под наркозом, не переживайте, вы в надёжных руках. В клинике работают профессионалы своего дела!!
С дочкой несколько лет приезжаем в "Интердентос" — очень нравится эта клиника. Всегда приветливые администраторы и тёплая атмосфера.
Отдельная благодарность врачу Зухре Загидовне. У нас особенный ребёнок, и доктор сразу смогла найти подход, всё тщательно объясняет, показывает, как ухаживать за зубами, и в целом относится с вниманием.
Дважды лечили зубы под общим наркозом, всё прошло отлично, а врачи-анестезиологи и после процедуры связывались и узнавали, как себя чувствует ребёнок.
Продолжаем регулярно посещать эту клинику для чистки зубов. Ребёнок не боится, спокойно ходит на процедуры. Спасибо всей команде и особенно нашему врачу Зухре Загидовне!
Вера Алексеевна профессионал высокого уровня. Обращались с ребёнком неоднократно, всегда получали помощь очень качественно. Ребёнок в кресле спокоен. идёт всегда с удовольствием. Огромная благодарность Вере Алексеевне..
Хочу выразить огромную благодарность Маштаковой Светлане Сергеевне. Врач с большой буквы. Лечили у неё зубки дочки 1.10 под наркозом всё прошло на высшем уровне, мы в восторге. Светлана Сергеевна очень внимательная и отзывчивая. Благодаря её волшебным рукам у нас у дочки красивая улыбка. Наша зубная фея быстро нашла подход к дочке!! После лечения ребенок просыпался под присмотром анестезиолога. Как проснулась дочка, дали игрушку мягкую за смелость и чупа-чупс без сахара. На следующий день администраторы звонили, спрашивали, как самочувствие у дочки. Огромное спасибо администраторам, всегда вежливые и доброжелательные. Два часа делали зубки дочки, девочки всегда поддерживали и успокаивали. Клиника на высшем уровне, теперь лечение зубов только здесь. Мамочки, чьи детки будут лечить зубки под наркозом, не переживайте, вы в надёжных руках. В клинике работают профессионалы своего дела!!